Leistung
Implantologie

All-on-4 ® / All-on-6 ®

Schöne, feste dritte Zähne auf nur 4 oder 6 Implantaten an einem einzigen Tag und das am liebsten ohne vorherigen Knochenaufbau? Das wünschen sich viele Patienten der Praxisklinik Herne. Die erfreuliche Nachricht: Dank des All-on-4 ® / All-on-6 ® – Behandlungskonzeptes rückt die Erfüllung dieses Traumes in greifbare Nähe. Schnell, sicher und kostengünstiger als die meisten anderen Versorgungen auf Implantaten.

All-on-four Zahnbrücke - Malo Konzept - Schema
Im Überblick

Das All-on-4 ® / All-on-6 ® Konzept

Themen im Überblick
In einer einzigen Behandlungssitzung

  • entfernen wir, falls noch vorhanden, Ihre nicht mehr erhaltungswürdigen Zähne,
  • inserieren die notwendigen vier bis sechs Zahnimplantate und
  • versorgen diese sofort mit einem funktionalen, perfekt sitzenden provisorischen Zahnersatz.

Hierbei ist sowohl festsitzender als auch herausnehmbarer Zahnersatz denkbar. Sichere Grundlage der All-on-four / six – Methode sind eine hochmoderne 3D-Röntgendiagnostik (DVT) und eine computerbasierte 3D-Implantatplanung im Vorfeld der Behandlung.
Minimalinvasive Implantation

Implantatversorgung All-on-6 in der ZPK Herne

Patientenbeispiel einer minimalinvasiven OP mittels Navigationsschiene.

Sie sehen gerade einen Platzhalterinhalt von YouTube. Um auf den eigentlichen Inhalt zuzugreifen, klicken Sie auf die Schaltfläche unten. Bitte beachten Sie, dass dabei Daten an Drittanbieter weitergegeben werden.

Mehr Informationen
drmintert
In guten Händen

All-on-4 / All-on-6 gehört in die Hände eines erfahrenen Implantologie Spezialisten

Der Behandlungserfolg hängt bei All-on-4® / All-on-6® entscheidend vom Können und der Erfahrung des Fachzahnarztes ab. Beides bringt Dr. Rüdiger Mintert, Master Of Oral Medicine In Implantology, Master of Science in Implantology and Dental Surgery, Master of Science in Aesthetic and Dental Surgery sowie International Expert in Implantology (DGZI) mit. Er bildet sich kontinuierlich fort und setzt jährlich etwa 1.000 Implantate ein – und das sehr erfolgreich schon seit vielen Jahren. Daher hat sich All-on-4® – All-on-6® in der Praxisklinik Herne als nachhaltige Zahnersatz-Versorgung mit planbaren Ergebnissen bestens bewährt.

Unter dem Dach der Praxisklinik Herne bilden die 3D-Implantatdiagnostik, die aufwendige Implantationstechnik sowie die perfekt darauf abgestimmte Arbeit des Dentallabors eine untrennbare Einheit. Durch die sichere Routine aller am Behandlungsablauf beteiligten Spezialisten können wir bei All-on-4 ® / All-on-6 ® auf eine hohe Erfolgsquote von fast 100% zurückblicken – und das auch in schwierigeren Behandlungssituation.

Möchten Sie gerne wissen, ob All-on-4 ® /6 ® auch für Sie infrage kommt? Dann vereinbaren Sie doch einfach einen Termin mit der Praxisklinik Herne. Wir beraten Sie gerne.

Mehrfach ausgezeichnet - Ihr Spezialist im Bereich Implantologie
Behandlungskonzept

All-on-4 – Prothese auf vier Implantaten mit viel Komfort

Das Behandlungskonzept All-on-4 ® / All-on-6 ® der Praxisklinik Herne richtet sich an Patienten, die alle oder fast alle Zähne verloren haben und sich eine festsitzende Prothese mit viel Komfort wünschen. Ersetzt man die fehlenden Zähne von Anfang an mit All-on-4 Zahnersatz, kann der gefürchtete Knochenschwund und der damit einhergehende verschlechterte Sitz einer Vollprothese verhindert werden.

Implantate ohne Knochenaufbau in Herne

Meist kein Knochenaufbau nötig

Spätestens, wenn auch Haftcremes den Sitz einer Prothese nicht mehr verbessern können, denken viele Patienten über Zahnimplantate nach, scheuen aber den Aufwand eines Knochenaufbaus. Das All-on-4 (Camfour ™) – System ist jedoch so konzipiert, dass auf einen Knochenaufbau in den allermeisten Fällen verzichtet werden kann.

Zahnimplantate ohne Knochenaufbau - das All-on-four / All-on-six - Konzept
Zahnarztangst
Hilfe bei Zahnarztangst bietet ZPK-Herne

All-on-4: Zahnimplantate ohne Angst und Schmerzen

Dank All-on-4 ® / All-on-6 ® brauchen Sie weder Angst vor einer dauerhaften Zahnlosigkeit, noch vor locker sitzendem Zahnersatz noch vor einem schmerzhaften, langwierigen Behandlungsmarathon haben. Zahnarztangst ist übrigens kein Hindernis für „feste dritte Zähne an einem Tag“ in Herne. Patienten der Praxisklinik Herne können den Implantat-Eingriff auf Wunsch auch unter Vollnarkose oder Sedierung vornehmen lassen.

Vor- und Nachteile

Vorteile und Nachteile von All-on-4 ® / All-on-6 ®

Warum All-on-4 ®?

All-on-4 ® in Herne – das erfolgreiche Konzept für die sichere Fixierung von festem Zahnersatz auf nur vier Implantaten – ist hochmodern, kosteneffizient und überaus schnell umsetzbar. Es gibt aber noch mehr schlagkräftige Argumente:

Der besondere Vorteil dieser Methode zeigt sich, wenn wir die Implantation nach Verlust oder Extraktion Ihrer Zähne nicht aufschieben, sondern sofort vornehmen. Zahnimplantate ersetzen die natürlichen Zahnwurzeln und helfen so, Knochenverlust zu vermeiden. Außerdem können wir bei einer Sofortimplantation das noch vorhandene umliegende Weichgewebe ausformen und langfristig erhalten. Erfahren Sie mehr über Ihre Möglichkeiten für feste Zähne an einem einzigen Tag.

Nachteile All-on-4 ®

Es gibt drei wesentliche Aspekte, die es bei All-on-4® / All-on-6® zu berücksichtigen gilt:

1. Komplexe Behandlung

Die Behandlungsvorbereitung und Behandlung selbst für den behandelnden Arzt sind sehr komplex. Know-how und Erfahrung beim behandelnden Chirurgen sind daher wichtigste Grundvoraussetzungen für eine erfolgreiche All-on-4® / All-on-6®-Versorgung. Dr. Rüdiger Mintert ist jedoch ein „alter Hase der Implantologie“. Deshalb sind bei ihm Komplikationen kaum zu fürchten.

Es ist eine intensive Abstimmung zwischen dem Zahnarzt und dem Dentallabor notwendig, damit die Zahnprothese auch perfekt passt. Da in der Praxisklinik Herne Zahntechniker, Zahnärzte der Implantologie und Zahnchirurgie unter einem Dach zusammenarbeiten, ist diese Voraussetzung hier gegeben.

All-on-4 ® / All-on-6 ® kommt für fast alle zahnlosen Patienten infrage – auch für Patienten, die bereits unter einem Rückgang des Kieferknochens leiden. Dennoch kann es hin und wieder vorkommen, dass wir einem Patienten diese Methode nicht anbieten können – zum Beispiel dann, wenn der Knochenverlust besonders stark ausgeprägt ist. Bitte beachten Sie auch, dass der Erhalt der eigenen Zähnen stets im Vordergrund stehen sollte. Letztlich kann dies nur eine umfassende Voruntersuchung bei uns vor Ort in der Praxisklinik Herne klären.

Vor- und Nachteile im Überblick

All-on-4 / All-on-6 Vorteile und Nachteile – Schnellübersicht

All-on-4 / All-on-6 – Vorteile All-on-4 / All-on-6 – Nachteile
Stabiler Zahnersatz auf nur 4 – 6 Implantaten je Zahnbogen Komplexe Behandlung
Im Optimalfall in nur einer einzigen Behandlungssitzung umsetzbar Fachübergreifende Zusammenarbeit (Zahntechniker & Implantologe) nötig
Oft ohne Knochenaufbau möglich Nicht für jeden Patienten geeignet
Funktionaler & komfortabler als herkömmliche Prothesen
Natürliches Aussehen und perfekter Sitz
Minimalinvasive Implantation

Implantatversorgung All-on-4 in der ZPK Herne

Patientenbeispiel einer minimalinvasiven OP mittels Navigationsschiene.

Sie sehen gerade einen Platzhalterinhalt von YouTube. Um auf den eigentlichen Inhalt zuzugreifen, klicken Sie auf die Schaltfläche unten. Bitte beachten Sie, dass dabei Daten an Drittanbieter weitergegeben werden.

Mehr Informationen
Begriffe
Wann werden Zahnimplantate eingesetzt und wann können sie belastet werden?

Allen Interessierten möchten wir hier die Begriffe

erläutern, um das All-on-4 ® / All-on-6 ® -Behandlungskonzept noch ein wenig verständlicher zu machen.

Sofortimplantation

Der Ausdruck Sofortimplantation besagt, dass wir unmittelbar nach Entfernung Ihrer nicht mehr erhaltungswürdigen Zähne Zahnimplantate in die entstandenen Zahnfächer (Alveolen) einsetzen. Eine Sofortimplantation beschreibt den besten Zeitpunkt für das Einsetzen eines Zahnimplantates, auch bei entzündlichen veränderten Geweben, weshalb diese Methode in der Praxisklinik Herne – wann immer möglich – angewandt wird.

Von verzögerter Sofortimplantation sprechen wir, wenn das Implantat nicht in einem Zug mit der Zahnentfernung, aber noch vor Ausheilung des Zahnfaches und eventuell sogar noch vor Ausheilung des Weichgewebes eingesetzt wird.

Die Spätimplantation entspricht der klassischen Implantateinbringung nach vollständiger Ausheilung des Knochenfaches, die etwa 6 Wochen bis mehrere Monate in Anspruch nimmt.

Sofortimplantate helfen, den durch Zahnlosigkeit bedingten beschleunigten Knochenverlust zu vermeiden, was gegenüber den Spätimplantaten einen großen Vorteil darstellt. Außerdem verkürzt eine (verzögerte) Sofortimplantation die Gesamt-Behandlungsdauer.

Als Nachteil gegenüber den Spätimplantaten kann gewertet werden, dass im Falle einer bestehenden Restentzündung die Gefahr eines Implantatverlustes gegeben ist. Bei einem erfahrenen Implantologie Experten kommt dieser Nachteil jedoch fast nie zum Tragen.

Wird ein Zahnimplantat unmittelbar nach Einsetzen mit einer provisorischen Zahnkrone versorgt, sprechen wir von einer „Sofortversorgung“. Die Sofortversorgung darf in der Regel bis zur vollständigen Einheilung des Implantats nur mäßig belastet werden. Deshalb werden die Provisorien in eine bestimmte Form gebracht, um den Kaudruck auf die Implantate für die Dauer der Einheilung der Implantate zu mindern.

Eine Sofortbelastung frisch eingesetzter Implantate ist möglich, wenn wir diese – wie bei All-on-4® / All-on-6® – mit einem Kronenblock verbinden. Auf diese Weise werden die Kaukräfte auf mehrere Implantate verteilt und das einzelne Implantat nicht zu stark belastet. Hierbei ist es wichtig, dass die Zahnimplantate bereits vor Beginn der Einheilung sicher im Knochen sitzen, also eine hohe „Primärstabilität“ aufweisen. Implantate zur Sofortimplantation verfügen zur Sicherstellung der Primärstabilität über eine spezielle Geometrie.

Grundvoraussetzungen für All-on-4® / All-on-6®

Die gute Nachricht: Fast allen Patienten, die sich eine All-on-4®/All-on-6®-Versorgung wünschen, können wir diese auch ermöglichen. Es gibt nur wenige Grundvoraussetzungen:

All on 4 / 6: Die Versorgungsmöglichkeiten

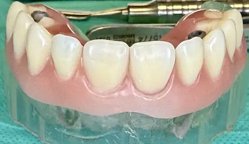
Bei der All on four / six-Methode kann eine festsitzende oder herausnehmbare Prothese auf den vier oder sechs Implantaten befestigt werden. Hierbei bieten sich verschiedene Versorgungsmöglichkeiten an. Die Auswahl der geeigneten Methode richtet sich nach Ihren Knochenangebot und Ihrem Budget. Wir beraten Sie hierzu gern.

All on Four Prothese mit Teleskopkronen - Schema
All-on-four: Zahnprothese mit Teleskopkronen

All on four mit einer Prothese auf Teleskopkronen (Doppelkronen)

Der zahnmedizinische Begriff „Teleskopkrone“ leitet sich aus dem Prinzip eines Teleskops mit seinen ineinander schiebbaren Segmenten ab. Die „Innenteleskope“ des Teleskop-Zahnersatzes werden auf den Implantaten befestigt, die Außenteleskope in die Zahnprothese eingearbeitet. Beim Einsetzen der Teleskopprothese schieben sich deren Außenteleskope auf die Innenteleskope der Implantate. Diese hervorragende Versorgung sitzt sehr fest und komfortabel. Ein weiterer Vorteil von Teleskopprothesen: Sie sind abnehmbar und lassen sich daher leicht reparieren und reinigen.

All-on-four: Prothese auf einer Stegversorgung

All on four mit einer Prothese auf einer Stegversorgung

Alternativ lassen sich abnehmbare Prothesen auf einem Steg verankern. Hierzu werden die vier Comfour-Implantate mit einem Steg verblockt. Die Gegenstücke der Stege bilden die in die Prothese werden eingearbeiteten „Stegreiter“, die beim Einsetzen der Zahnprothese auf den Stegen der Implantate einrasten. Durch die Stege entsteht eine sehr starke Verblockung der Zahnimplantate, sodass diese sofort belastet werden können. Zahnersatz auf Stegen kann bei schlechteren Knochenverhältnissen sinnvoll sein.

All-on-four-Prothese auf Stegversorgung - Schema
All-on-four Zahnbrücke - Malo Konzept - Schema
All-on-four: Brücke auf vier Zahnimplantaten

All on four mit einer verschraubten Brücke (Malo-Konzept)

Können Zahnimplantate in ausreichender Länge/Größe in den Kiefer implantiert werden, besteht die Möglichkeit, die vier Implantate mit einer festsitzenden Brücke zu verschrauben.

All-on-six: verschraubte Brücke im Oberkiefer auf 6 Implantaten

All on six mit einer verschraubten Brücke

Sind die Voraussetzungen gegeben, sechs Implantate über den Kiefer zu verteilen, kann auch eine festsitzende Brücke stabil verankert werden. All on six setzen wird oft im Oberkiefer eingesetzt, weil dort das Knochenangebot im Vergleich zum Unterkiefer häufig nicht mehr so gut ist.
All-on-six: verschraubte Brücke im Oberkiefer auf 6 Implantaten - Schema

3D-Diagnostik und -Behandlungsplanung

Herzstück der All-on-4 ® / 6 ® -Methode​

Herzstück des All-on-4 / 6 – Behandlungskonzepts mit Camfour™ ist die aufwendige 3D-basierte Diagnostik. Diese findet im Vorfeld der eigentlichen Zahnimplantation statt. Mit Hilfe von dreidimensionalen DVT-Röntgenaufnahmen und der hochmodernen SIMPLANT®-Software macht sich unser Experte für Implantologie, Dr. Mintert ein detailgenaues Bild von Ihrem Kiefer. Dabei interessieren ihn nicht nur das verfügbare Knochenvolumen, sondern auch die empfindlichen Strukturen des Kiefers, die Knochenqualität und der umliegenden Bereiche. Hierzu gehört neben der Kieferhöhle auch Ihr Unterkiefernerv, auf den wir beim Implantationsvorgang besonders achtgeben müssen. Mithilfe der 3D-Diagnostik kann der Zahnarzt auch feststellen, ob All-on-four/six überhaupt für Sie geeignet ist.
implantat unterkiefer 3d
3d Diagnostik Röntgenbild
Unter Einsatz der SIMPLANT® Planungssoftware kann der Implantolgoe die optimalen Implantatpositionen vorab am Computer planen, wobei sämtliche Planungsdaten anschließend in die Herstellung einer individuellen Bohrschablone einfließen. Die Bohrschablone ermöglicht ein punktgenaues, schonendes Einsetzen der Implantate an den zuvor geplanten Positionen, minimiert das Verletzungsrisiko und beschleunigt letztendlich die Heilung.

Das Behandlung mit Camfour™ sieht 4-6 Implantate je Zahnbogen vor. Meist reichen jedoch 4 Implantate aus. Die speziell für diesen Zweck ausgelegten Zahnimplantate werden mit einem Winkel von bis zu 45° in den Knochen eingebracht. Durch die geneigten Implantate ist der Spezialist für Implantologie unabhängiger vom noch vorhandenen Knochenvolumen und kann ohne einen vorherigen Knochenaufbau implantieren. Wichtig ist, dass die Zahnimplantate bereit unmittelbar nach Einsetzen stabil im Kieferknochen sitzen. Dies wird durch das spezielle All-on-4 ® / All-on-6 ®- Implantationsverfahren sichergestellt. Eine hohe „Primärstabilität“ der Implantate ist die wichtigste Grundvoraussetzung für eine Sofortversorgung mit Zahnersatz noch am gleichen Tag.

Bohrschablone Implantat

Sie sehen gerade einen Platzhalterinhalt von Vimeo. Um auf den eigentlichen Inhalt zuzugreifen, klicken Sie auf die Schaltfläche unten. Bitte beachten Sie, dass dabei Daten an Drittanbieter weitergegeben werden.

Mehr Informationen
Schritt für Schritt
Behandlungsablauf – All-on-4 ® / All-on-6 ®
Die All-on-4 ® / All-on-6 ® - Behandlung im Kurzüberblick
  1. Erstgespräch, klassische Untersuchung, Anamnese
    • Erstellung einer 3D-Röntgenaufnahme (DVT) mit anschließender 3D-Planung des Implantats/der Implantate
    • Besprechung des Befundes und Beratung zu den Behandlungsoptionen
    • Erstellung und Besprechung eines Heil- und Kostenplans
  2. Gegebenenfalls weiteres Beratungsgespräch, in dem wir Sie über den gesamten Behandlungsablauf aufklären:
    • Ablauf des chirurgischen Eingriffs (OP-Aufklärung)
    • Auflauf der Behandlung nach der OP (postoperative Phase)
    • Ablauf der eigentlichen prothetischen Versorgung.
    • Nachsorge-Maßnahmen
  3. Die Implantat-OP / der Eingriff: computernavigierte Implantation mithilfe einer Bohrschablone und Versorgung mit provisorischem Zahnersatz
  4. Nach ca. 10 Tagen: nächster Kontrolltermin und Ziehen der Fäden
  5. Nach ca. 4-6 Monaten: Abformung des Kiefers zur Herstellung Ihres endgültigen Zahnersatzes
  6. Ca. 7-10 Tage später: Anprobe Ihres endgültigen Zahnersatzes
  7. Die abschließende, finale prothetische Versorgung findet in der Regel nach 3 bis 4 Monaten statt.
  8. Zweimal jährlich: Kontrolluntersuchung und – falls nötig – präventive Maßnahmen zur Bewahrung des Behandlungserfolges (z. B. professionelle Implantatreinigung)
  9. Alle 1 – 2 Jahre: neue Röntgenaufnahmen
State of the art

Das innovative Comfour™ System

All on 4 wurde seit seiner Erfindung im Jahr 1998 mit der Zeit zu einem sehr großen Erfolg. Aus diesem Grunde setzen heute verschiedene Hersteller mit jeweils eigenen Implantatsystemes auf dieses bahnbrechende Verfahren. Die Praxisklinik Herne arbeitet vor allem mit Camfour™, einem System der Firma CAMLOG Biotechnologies AG. CAMLOG gilt als einer der führenden Hersteller für dentale Implantologie-Systeme, die sich sowohl hinsichtlich ihrer guten Anwendbarkeit als auch ihrer ausgezeichneten Qualität von anderen Systemen abheben. Und das nicht ohne Grund. Das Unternehmen CAMLOG legt allergrößten Wert auf kontinuierliche Forschung und Entwicklung in Zusammenarbeit mit weltweiten Experten der Zahnimplantologie. Durch regelmäßige Fortbildungsseminare lässt CAMLOG seine Kunden stets an seinem “frischen Know-how” teilhaben. CAMLOG zeichnet sich zudem durch ein Angebot individuell auf den Bedarf zugeschnittener Implantat-Lösungen aus, die kontinuierlich an die neuesten Forschungsergebnisse angepasst werden.
Behandlungsbeispiel

All-on-4 ® – Patientenfall

Bei Zahnlosigkeit oder nicht mehr erhaltungswürdigen Zähnen wünschen sich die Patient*innen der Praxisklinik Herne natürlich zeitnahe und minimalinvasive Lösungen. Dank des All-on-4 ® / All-on-6 ®–Konzepte können wir ihnen diesen Wunsch oftmals innerhalb nur eines einzigen Behandlungstages erfüllen: 4 bzw. 6 Zahnimplantate werden gesetzt und bilden im Folgenden die Grundlage für den passenden festsitzenden oder herausnehmbaren Zahnersatz. Die einzelnen Behandlungsschritte veranschaulichen wir Ihnen anhand eines aktuellen Patientenfalls aus diesem Jahr.

Der Patientenfall

Unser 55-jähriger Patient stellte sich uns nach Jahrzehnten der Nichtbehandlung mit einen stark kariösen und nur zum Teil bezahnten Kiefer vor. Aufgrund einiger abgebrochener Zahnwurzeln wurde schnell ersichtlich: Der bisherige Zahnersatz kann nicht erneuert werden; außerdem wünschte sich unser Patient in Zukunft einen gaumenfreien festsitzenden Zahnersatz. Alles deutete Richtung All-on-4 ® / All-on-6 ®–Konzept.
Patientenbild: Ober- und Unterkiefer vor der OP

Ermittlung des Status Quo und schrittweise Planung

Bevor an einen operativen Eingriff gedacht werden kann, stehen als erstes Röntgenbilder mithilfe der Digitalen Volumentomographie auf dem Programm. Hier sind die Überreste in Ober-und Unterkiefer gut zu sehen, vor allem aber die Positionen der abgebrochenen Zahnwurzeln. Auf Basis der Bilder können die Positionen für die insgesamt 8 Implantate auf den Millimeter genau geplant werden: Unser Patient wird jeweils 4 Implantate im Ober-und Unterkiefer erhalten, die im Nachgang jeweils mit einem festsitzenden Zahnersatz versorgt werden. Die Einheilphase dauert zwischen 4 und 6 Monate, prognostiziert Dr. Mintert, der Spezialist für Implantate in der ZPK Herne.
Röntgenbild Kiefer - vor OP
Implantatplanung - Oberkiefer - All-on-Four Konzept
Implantatplanung - Unterkiefer - All-on-Four Konzept

Der chirurgische Eingriff im Detail

Der Tag der Operation ist gekommen: Im ersten Schritt werden die noch vorhandenen Zähne gezogen sowie die Wurzeln und vereinzelte Zysten restlos entfernt. Dies erwies sich im vorliegenden Fall als extrem komplex und folgenreich: Beim Extrahieren gingen Teile der Knochenwände verloren, was einen deutlichen Mehraufwand beim Aufbau des Kieferkamms nach sich zog. Zuzüglich zu Knochenersatzmaterial verwendete Dr. Mintert dafür 2 Collagen Blöcke, 2 Membranen und 0,3 ml Emdogain. Letzteres dient der Entwicklung von zahnstützendem Gewebe. Auch Eigenknochen aus einem zweiten OP-Gebiet kam zum Einsatz. Im Oberkiefer wurde außerdem ein sogenannter Sinuslift durchgeführt, der – vereinfacht gesprochen – die Kieferhöhlen anheben soll. Nun waren die Grundlagen für den nächsten Schritt geschaffen: Eine eigens angefertigte Bohrschablone ermöglicht die navigierte Implantation. So fanden alle acht Implantate trotz ungeplanter Komplikationen ihren rechten Platz im Mundraum. Abschließend wird L-PRF Plasma, d.h. zentrifugiertes Eigenblut eingebracht, um die Wundheilung zu unterstützen. Als Zahnersatz werden zwei festsitzende Keramikbrücken gewählt und auf künstliche Keramikaufbauten geklebt. Diese wiederum sind mit jeweils vier Implantaten verschraubt.

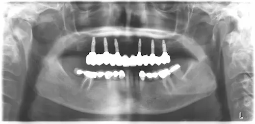
Röntgenaufnahme - nach OP - All-on-Four
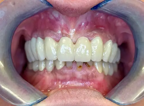
All-on-Four Zahnersatz nach OP - Patientenansicht
Kostenbeispiel

All-on-4 ® – Kosten: Beispiel aus Patientenfall

In unserem Beispielfall ist unser Patient gesetzlich versichert und verfügte über keinerlei Zahnzusatzversicherung. Die folgende Tabelle zeigt die Teilkosten für den beschriebenen Eingriff:
Patientenbeispiel – All-on-Four Kosten
Chirurgie 8160,80 €
Gesamtkosten Zahnersatz 12.383,01 €
– abzüglich Festzuschuss Kasse (0%) – 774,26 €
Eigenanteil Patient Zahnersatz 11.608,75 €
Gesamtkosten (Eigenanteil): Chirurgie + Prothetik 19.769,55 €
Weitere Informationen zum Thema „Was kosten Zahnimplantate?“ finden Sie auf der Seite unseres Zahnimplantat Kosten Rechners: > Was kosten ein Zahnimplantat? Hier geht es zum Zahnimplantat Kosten Rechner!

All-on-4 Kosten: Weitere Beispielrechnungen

Die Kosten für All-on-4 können leider nicht pauschal berechnet werden. Nach einem ausführlichen persönlichen Beratungsgespräch und einer Befundaufnahme erstellen wir Ihnen jedoch gerne eine individuelle Kostenkalkulation. Wenn Sie sich vorab einen genaueren Überblick über die zu erwartenden Kosten für Ihre Ausgangssituation verschaffen möchten, empfehlen wir Ihnen die Nutzung unseres Zahnimplantat-Kostenrechners.

All-on-4Kosten
All-on-4 Oberkiefer9.000 – 10.000 €
All-on-4 Unterkiefer9.000 – 10.000 €
All-on-4 Ober- und Unterkiefer18.000 – 20.000 €

All-on-4: Vorher Nachher Bilder

Zahnloser Oberkiefer vor Implantatversorgung mittels All-on-Four
All-on-4 - Vorher
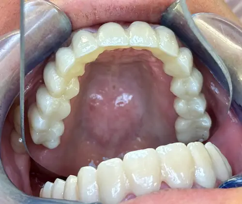
Oberkiefer-Zahnreihe nach erfolgreicher Implantatversorgung mittels All-on-Four
All-on-4 - Nachher
ZPK Herne

FAQ

Ist eine All-on-4 Behandlung schmerzhaft?

Da es heutzutage viele Möglichkeiten gibt, das Schmerzempfinden auszuschalten (Narkose, Sedierung), sind die Schmerzen während eines All-on-4-Eingriffs in der Regel minimal. Allerdings können aufgrund der Tatsache, dass es sich um einen chirurgischen Eingriff handelt, nach der Behandlung leichte Schmerzen auftreten. Mit einer geeigneten Schmerzmedikation und einer Anleitung zum richtigen Umgang mit postoperativen Schwellungen sind diese jedoch gut beherrschbar, so dass in der Regel nicht mit länger anhaltenden Beschwerden zu rechnen ist.
All-on-4® Behandlungen sind kein neues Verfahren. Das Konzept wurde seit den 1990er Jahren in unzähligen Fällen angewendet und die Erfolge ausführlich dokumentiert. Wenn die Behandlung von einem erfahrenen Spezialisten für Implantologie durchgeführt wird, handelt es sich um eine vergleichsweise schnelle und in den meisten Fällen komplikationslose Behandlungsmethode zur Versorgung vollständig zahnloser Kiefer.
Ja. Obwohl wir unseren Patienten grundsätzlich eine Teilnarkose oder Sedierung empfehlen, da in Verlauf der Behandlung auch der provisorische Zahnersatz eingesetzt wird, kann die Implantation auf Wunsch auch unter Vollnarkose durchgeführt werden. Mit dieser Option möchten wir sicher stellen, dass auch Angstpatienten nicht auf eine Implantat-Versorgung verzichten müssen.
Abhängig von den individuellen Voraussetzungen eines Patienten, wie etwa dem vorhandenen Knochenangebot des zu versorgenden Kiefers, werden für vollständigen Zahnersatz pro Zahnbogen jeweils 4 (i.d.R. im Unterkiefer) bzw. 6 (Oberkiefer) Implantate benötigt. Die für Ihre Bedürfnisse geeigneten Versorgungsmöglichkeiten klärt das Team der Praxisklinik Herne mit Ihnen gerne in einem ausführlichen Anamnese-Gespräch.
Für die Versorgung mit All-on-4® bzw. All-on-6®-Zahnersatz gibt es nur wenige Voraussetzungen. Dazu gehört etwa, dass der zu versorgende Kiefer nahezu oder vollständig zahnlos ist, bzw. die noch vorhandenen Zähne von unseren Spezialisten als nicht mehr erhaltungswürdig eingestuft werden. Zudem ist ein ausreichend vorhandenes Knochenangebot im Bereich der Frontzähne erforderlich. Ob eine All-on-4® bzw. All-on-6®-Behandlung für Sie in Frage kommt, klären unsere Spezialisten gerne mit Ihnen in einem ausführlichen Erstberatungsgespräch.
Unser Implantantkostenrechner
Jetzt Kosten für Ihre individuellen Implantate kostenlos berechnen
calculator group
Quellen
  • La Monaca G, Pranno N, Annibali S, Di Carlo S, Pompa G, Cristalli MP. Immediate flapless full-arch rehabilitation of edentulous jaws on 4 or 6 implants according to the prosthetic-driven planning and guided implant surgery: A retrospective study on clinical and radiographic outcomes up to 10 years of follow-up. Clin Implant Dent Relat Res. 2022 Dec;24(6):831-844. doi: 10.1111/cid.13134. Epub 2022 Oct 5. PMID: 36197040; PMCID: PMC10092257. Link
  • Malo P, de Araújo Nobre M, Lopes A, Moss SM, Molina GJ. A longitudinal study of the survival of All-on-4 implants in the mandible with up to 10 years of follow-up. J Am Dent Assoc. 2011 Mar;142(3):310-20. doi: 10.14219/jada.archive.2011.0170. PMID: 21357865.
  • Maló P, de Araújo Nobre M, Lopes A, Ferro A, Botto J. The All-on-4 treatment concept for the rehabilitation of the completely edentulous mandible: A longitudinal study with 10 to 18 years of follow-up. Clin Implant Dent Relat Res. 2019 Aug;21(4):565-577. doi: 10.1111/cid.12769. Epub 2019 Mar 28. PMID: 30924309. Link
  • Silva GC, Mendonça JA, Lopes LR, Landre J Jr. Stress patterns on implants in prostheses supported by four or six implants: a three-dimensional finite element analysis. Int J Oral Maxillofac Implants. 2010 Mar-Apr;25(2):239-46. PMID: 20369081.
  • Soto-Penaloza D, Zaragozí-Alonso R, Penarrocha-Diago M, Penarrocha-Diago M. The all-on-four treatment concept: Systematic review. J Clin Exp Dent. 2017 Mar 1;9(3):e474-e488. doi: 10.4317/jced.53613. PMID: 28298995; PMCID: PMC5347302.
  • Tallarico M, Meloni SM, Canullo L, Caneva M, Polizzi G. Five-Year Results of a Randomized Controlled Trial Comparing Patients Rehabilitated with Immediately Loaded Maxillary Cross-Arch Fixed Dental Prosthesis Supported by Four or Six Implants Placed Using Guided Surgery. Clin Implant Dent Relat Res. 2016 Oct;18(5):965-972. doi: 10.1111/cid.12380. Epub 2015 Oct 7. PMID: 26446912. Link
  • S3-Leitlinie (Langfassung). Implantatprothetische Versorgung des zahnlosen Oberkiefers. AWMF-Registernummer: 083-010. Stand: November 2020. Link
  • Zhang Y, Li S, Di P, Zhang Y, Wu A, Lin Y. Comparison of 4- or 6-implant supported immediate full-arch fixed prostheses: A retrospective cohort study of 217 patients followed up for 3-13 years. Clin Implant Dent Relat Res. 2023 Apr;25(2):381-397. doi: 10.1111/cid.13170. Epub 2022 Dec 15. PMID: 36522852. Link
Ähnliche Themen
Das könnte Sie auch interessieren
ZPK Herne
Warum mit uns
Ein Implantat bringt Ihnen mehr Wohlbefinden

Erreichen Sie mit Zahnimplantaten neue Lebensqualität:

  • Ihre Zahnimplantate sitzen so
    fest wie eigene Zähne.
  • Das Mundgefühl ist wie mit echten Zähnen.
  • Sie können alles essen, was Ihnen schmeckt.
  • Sie können endlich wieder unbeschwert lachen.
  • Ihre Implantate wirken auf andere völlig natürlich.

Sind Sie auf der Suche nach einer rundum empfehlenswerten Zahnarztpraxis in Herne?

Die zahnärztliche Praxisklinik (ZPK) unter der Leitung von Dr. Rüdiger Mintert ist eine Zahnarztpraxis auf dem neuesten Stand und bietet Ihnen eine optimale Versorgung – von Zahnästhetik und Implantologie bis zu alltäglichen Problemen wie Zahnschmerzen und Weisheitszahn OP.

Sind Sie auf der Suche nach einer rundum empfehlenswerten Zahnarztpraxis in Herne?

Die zahnärztliche Praxisklinik (ZPK) unter der Leitung von Dr. Rüdiger Mintert ist eine Zahnarztpraxis auf dem neuesten Stand und bietet Ihnen eine optimale Versorgung – von Zahnästhetik und Implantologie bis zu alltäglichen Problemen wie Zahnschmerzen und Weisheitszahn OP.