Ein gerade geformtes Gebiss und weiße Zähne machen nicht nur selbstbewusst. Insgesamt schöne Zähne hinterlassen auch beim Gegenüber einen positiven Eindruck und können entscheidend Ihre Außenwirkung beeinflussen.
Vorsorgliche Prophylaxe, Zahnpflege und auch Kosmetik sind bedenkenswerte Maßnahmen, um noch langfristig die eigenen Zähne behalten und strahlen lassen zu können.
Vielerlei ist machbar in der Zahnästhetik, und jeder Zahnarzt im Team der Praxisklinik Herne kennt hervorragende und modernste Techniken, um ihren Patienten zum “Wunsch-Gebiss” zu verhelfen. Eine ästhetische Zahnbehandlung zielt unserer Meinung immer auch darauf ab, die Gesundheit und Funktionalität des Kauapparates zu bewahren.




Zahnästhetik Herne: Patienten sprechen über Ihre Erfahrungen.
Sie sehen gerade einen Platzhalterinhalt von YouTube. Um auf den eigentlichen Inhalt zuzugreifen, klicken Sie auf die Schaltfläche unten. Bitte beachten Sie, dass dabei Daten an Drittanbieter weitergegeben werden.
Mehr Informationen
Wenn man der Werbung Glauben schenkt, sehen schöne Zähne aus wie kostbare Perlen, aufgereiht auf einer Kette. Tatsächlich beschäftigt man sich in der kosmetischen Zahnmedizin mit dem sogenannten “goldenen Schnitt” der Zähne, der die perfekte Zahngröße und die Zuordnung der Zähne zueinander bestimmt. Sicherlich ist das eine sehr gute Arbeitsgrundlage, um bei einer ästhetischen Zahnbehandlung gute Ergebnisse zu erzielen.
Wir finden allerdings, dass bei jedem Patienten noch Platz für Individualität und das “gewisse Etwas” ist – vorausgesetzt dies spricht nicht dem zahngesundheitlichen Wohl des Patienten entgegen. Ein Zahn, der ein klein wenig aus der Reihe ausschert, oder eine kleine Zahnlücke können durchaus charmant sein. Letztlich entscheidet im Rahmen des Machbaren aber immer der Patient, ob eine zahnästhetische Behandlung für ihn in Frage kommt.
Mit regelmäßigen Vorsorgeuntersuchungen und mindestens zweimal jährlich durchgeführten professionellen Zahnreinigungen bewahren wir die Gesundheit Ihrer Zähne und Ihres Zahnfleisches. Mit der professionellen Zahnreinigung befreien wir Ihre Zähne von Zahnbelägen und entfernen dabei gleichzeitig unschöne Flecken. Sofort nach der Behandlung sehen Ihre Zähne schöner und weißer aus.
Im Rahmen der unterstützenden Parodontitistherapie (UPT) bewahren wir den Behandlungserfolg einer vorausgegangenen Parodontitisbehandlung, so dass Ihr Zahnfleisch fest und rosig bleibt.
Der Vorteil keramischer Versorgungen liegen ihrer Passgenauigkeit, Stabilität und Ästhetik.
Kariesbehandlungen und Amalgam: das geht heute bei den meisten Patienten und auch bei den Zahnärzten der Praxisklinik Herne nicht zusammen. Bei uns können Sie sich die in Verruf geratenen Amalgam-Füllungen entfernen und durch zahnfarbene Füllungen (“weiße Füllungen”) minimalinvasiv ersetzen lassen. Für eine kleinere Zahnfüllung (Mikro-Füllung) eignen sich Komposite, mit denen wir den defekten Zahn so restaurieren können, dass man den Unterschied zu einem unbehandelten Zahn nicht mehr sieht. Komposite sind Kunststoffe, die mit keramischen Anteilen verstärkt wurden.
Bei Kronen und Brücken aus ästhetischer Hochleistungskeramik entfallen die unschönen dunklen Ränder wie sie nach einigen Jahren bei Verblendkronen auf Metallgerüst entstehen. Die Keramik, deren Farbe wir perfekt auf den Patienten abstimmen können, ist außerdem ein biokompatibles Material, das vom Körper hervorragend vertragen wird (Stichwort “Bio-Zahnersatz”).
Vollkeramischer Zahnersatz kann dank der hochmodernen CAD-CAM-Technologie (CEREC) direkt am Zahnarztstuhl (Chairside) für Sie hergestellt werden – ohne den sonst üblichen Würgereiz bei der Kiefer-Abformung und ohne Wartezeiten. Für den ästhetisch sehr anspruchsvollen Vorderzahnbereich empfehlen wir unseren Patienten vollkeramische Versorgungen, die in aufwendiger Handarbeit in unserem Dentallabor hergestellt werden. Mit speziellen Keramiken realisieren wir einen Zahnersatz, der in seiner Form und Transluzenz von schönen, natürlichen Zähnen nicht unterschieden werden kann.
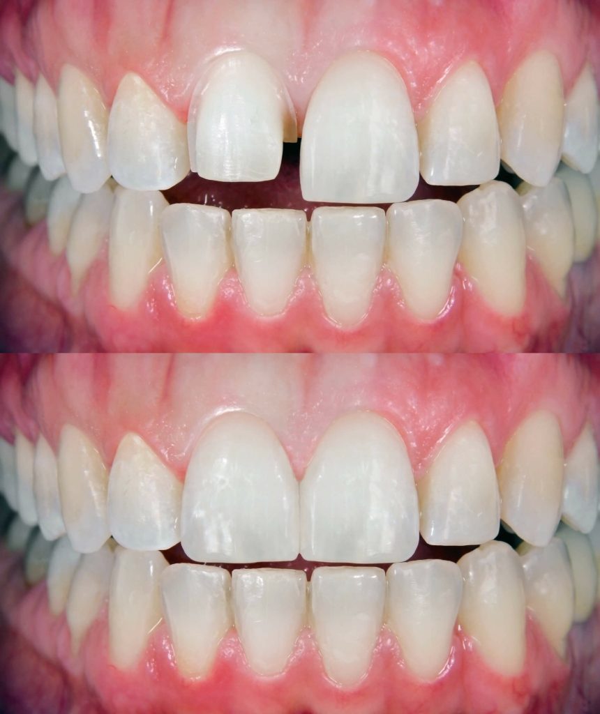
Veneers sind dünne Verblendschalen aus Keramik, mit denen sich kleine Zahndefekte und irreversible Verfärbungen im Frontzahn-Bereich dauerhaft abdecken lassen – und das ohne Bohren. Selbst für die ästhetische Zahnkorrektur, das heißt die Begradigung geringfügig schiefer Zähne, sind Veneers geeignet. Sie sind in einigen Fällen eine gute, schnelle und günstige Alternative gegenüber einer langwierigen Zahnspangen-Therapie. Der wichtigste Vorteil von Veneers gegenüber der Zahnkrone: Bei der Präparation der Zähne wird kaum eigene Zahnsubstanz geopfert.
Lumineers by Cerinate® sind eine besondere Form der Veneers. Sie sind so unglaublich dünn, dass die behandelten Zähne gar nicht oder fast gar nicht abgeschliffen werden müssen – und das bei einer hervorragenden Ästhetik.
Weißere Zähne wünschen sich viele Menschen. Denn weiße Zähne stehen für Gesundheit, sie lassen ein Lachen schön werden, sie wirken gepflegt und sauber. In der Zahnarztpraxis Herne kümmern wir uns gerne um die Ästhetik Ihrer Zähne, und zeigen Ihnen die Möglichkeiten auf, wie Ihre Zähne gesund und weiß werden!
Sie sehen gerade einen Platzhalterinhalt von Vimeo. Um auf den eigentlichen Inhalt zuzugreifen, klicken Sie auf die Schaltfläche unten. Bitte beachten Sie, dass dabei Daten an Drittanbieter weitergegeben werden.
Mehr InformationenSie sehen gerade einen Platzhalterinhalt von YouTube. Um auf den eigentlichen Inhalt zuzugreifen, klicken Sie auf die Schaltfläche unten. Bitte beachten Sie, dass dabei Daten an Drittanbieter weitergegeben werden.
Mehr InformationenSie müssen den Inhalt von reCAPTCHA laden, um das Formular abzuschicken. Bitte beachten Sie, dass dabei Daten mit Drittanbietern ausgetauscht werden.
Mehr InformationenSie sehen gerade einen Platzhalterinhalt von ProvenExpert.com. Um auf den eigentlichen Inhalt zuzugreifen, klicken Sie auf die Schaltfläche unten. Bitte beachten Sie, dass dabei Daten an Drittanbieter weitergegeben werden.
Mehr Informationen