Leistung
Zahnästhetik

Veneers

Schöne Zähne dank Keramik-Veneers.

Hand mit Keramik-Veneers im Fokus in der Zahnärztlichen Praxisklinik herne
Im Überblick
Inhaltsverzeichnis
Themen im Überblick

Wenn Schneidezähne oder Eckzähne schnell und schonend begradigt oder verschönert werden sollen, sind Veneers die richtige Wahl. Manchmal stören eine Zahnlücke, starke Verfärbungen oder eine abgebrochene Zahnecke den Gesamteindruck eines ansonsten schönen Lächelns. Hier sind Veneers eine sehr gute, minimalinvasive Alternative zu Zahnkronen, Bleachings oder zum Tragen einer Zahnspange.

Definition

Was sind Veneers?

Veneers sind Verblendschalen aus Keramik, Kunststoff oder zahnfarbenem Komposit. Hauchdünn und dennoch äußerst belastbar werden Veneers vom Zahnarzt mittels spezieller Adhäsivtechnik und eines Spezialklebstoffes zur ästhetischen Restauration mit abgebrochenen, verfärbten oder anderweitig geschädigten Zähnen verklebt. Der natürliche Zahn wird bei einer Behandlung mit Veneers nur minimal beansprucht. Veneers aus Kompositen werden direkt am Zahnarztstuhl (Chairside) schichtweise auf den Zahn aufgetragen. Kunststoff- und Keramik-Veneers hingegen werden im Dentallabor individuell für Zahn und Patient hergestellt und in einer separaten Behandlungssitzung mit dem Zahn verklebt. Grundsätzlich lassen sich Veneers auch maschinell mit dem hervorragenden CAD/CAM-Verfahren (z. B. CEREC) herstellen.

Für jeden Bedarf

Welche Arten von Veneers gibt es?

In der Zahnmedizin werden folgende Arten von Veneers eingesetzt:

Konventionelle Veneers

Was sind konventionelle Veneers?

Konventionelle Veneers (Prep-Veneers, Keramik-Veneers) erfordern eine vorausgehende Präparation des Zahnes, bei der maximal 1,5 mm des Zahnschmelzes durch Beschleifen abgetragen werden, um Platz für die Verblendung zu schaffen. Die benötigte Dicke ergibt sich dabei aus Faktoren wie der Zahnfarbe, Zahnstellung, dem Material der Verblendschalen oder der Farbe des Composit-Klebers und beträgt meist zwischen 0,5 und 1 mm. Prep-Veneers werden individuell im Dentallabor aus Voll- oder Presskeramik gefertigt.

Non-Prep-Veneers

Was sind Non-Prep-Veneers?

Non-Prep-Veneers (Non-Invasive Veneers) können im Gegensatz zu konventionellen Veneers wieder vom Zahn entfernt werden, da die geringere Schichtstärke (ca. 0,3 mm) der Verblendschalen kein Beschleifen der Zahnsubstanz notwendig macht. Die dauerhafte Fixierung von Non-Prep-Veneers erfolgt wie bei konventionellen Veneers mittels eines Spezialklebstoffs. Die bekannteste Form der Non-Prep-Veneers sind, die unter dem Markennamen Lumineers vermarkteten, hauchdünnen Veneers des amerikanischen Herstellers DenMat™, die aus der patentierten Keramikmasse Cerinate™ gefertigt werden.

Komposit-Veneers

Was sind Komposit-Veneers?

Kompositveneers (Direktes Veneering) bestehen aus zahnfarbenen Kompositschichten (Zahnmedizinische Verbundstoffe aus Keramik-, Glas- und Quarzpartikeln), die direkt auf die Zahnfront aufgetragen und unter UV-Licht gehärtet werden. Ein vorbereitendes Beschleifen der Zahnsubstanz entfällt bei Kompositveneers. Stattdessen werden die Zähne zunächst mittels einer Säure leicht angeraut, um eine stabile Haftung des Materials mit der Zahnoberfläche herzustellen.

Sofort-Veneers

Was sind Sofort-Veneers?

Sofort-Veneers (Veneers-to-Go) existieren als genormte Sofortverblendung, die im Gegensatz zu anderen Veneer-Arten nicht individuell hergestellt werden, was die Auswahl in Bezug auf Farbe und Form deutlich einschränkt. Auch eine Sofort-Versorgung mittels Kompositveneers wird oftmals unter der Bezeichnung „Veneers-to-Go“ geführt, da die Umsetzung oftmals innerhalb einer einzelnen Sitzung erfolgen kann.

Unterschiede

Veneers oder Lumineers® – Unterscheidung

Keramik-Veneers

Keramik-Veneers -
Hochwertig & individuell

Die Erfahrung zeigt, dass sich insbesondere bei Veneers die handwerkliche Arbeit des Zahntechnikers lohnt, da nur er in der Lage ist, auch die feinsten Strukturen der Zähne perfekt nachzubilden. Gerade im anspruchsvollen Vorderzahnbereich ist dies von großer Bedeutung. Veneers aus hochwertiger Vollkeramik zeichnen sich durch ihr sehr natürliches Aussehen und durch eine hohe Bioverträglichkeit aus. Sie sind hart und stabil und können 15 Jahre und länger halten.

Ästhetische Zahnheilkunde - Veneers
Herstellung eines Veneers im Dentallabor
Auswahl von Lumineers mit passender Färbung in der Zahnärztlichen Praxisklinik in Herne
Planung einer Veneer-Behandlung: Farbanalyse
LUMINEERS®

LUMINEERS® – eine besonders dünne Form der Veneers

LUMINEERS®, auch unter dem allgemeineren Namen Non-Prep-Veneers, Additional Veneers oder Non-Invasiv-Veneers bekannt, sind eine Variante der konventionellen Veneers. Sie bestehen aus einer speziellen Press- oder Schichtkeramik und sind hauchdünn – mit 0,3 bis 0,5 mm kaum dicker als eine Kontaktlinse (Veneers: 0,8 bis 2 mm). Anders als konventionelle Veneers können LUMINEERS® deshalb ohne Betäubungsspritze und ohne vorherige Präparation auf den Zahn aufgeklebt werden. Das schont Ihre gesunde Zahnsubstanz. Manchmal ist es jedoch nötig, den Zahn ein klein wenig zu konturieren und zu glätten. Der Grund: LUMINEERS® können nicht auf hervorstehende Zahnbereiche aufgebracht werden.

LUMINEERS® eignen sich besonders bei einer sehr dünnen oder empfindlichen Zahnschmelz-Schicht und darüber hinaus bei allen Indikationen, die es auch für herkömmliche Veneers gibt. Wie bei Veneers dürfen die Zähne für LUMINEERS® nicht zu schief oder zu stark geneigt und gedreht sein. Auch bei Zahnüberlappungen sind Non-prep Veneers nicht geeignet.

LUMINEERS®

Ein neues Lächeln dank Non-Prep-Veneers

Mit Non-Prep-Veneers (LUMINEERS®) in nur zwei Sitzungen zum perfekten Lächeln! Die hauchdünnen und lichtdurchlässigen Keramikveneers werden mit Hilfe einer belastbaren Spezialverklebung auf den Zähnen angebracht, ohne dass die Zähne zuvor angeschliffen werden müssen. Die gesunde Zahnsubstanz bleibt erhalten.

Wenn Sie große Angst vor dem Zahnarzt haben, besteht jedoch die Möglichkeit, auch bei einfacheren Eingriffen mit Narkose– und Sedierungsmitteln zu arbeiten. Darüber hinaus gibt es chirurgische Eingriffe, die per se eine Narkose oder Sedierung sinnvoll erscheinen lassen. Hierzu gehören beispielsweise die Entfernung aller vier Weisheitszähne in einer Zahnarztsitzung oder die Insertion von mehreren Implantaten mit vorherigem Knochenaufbau.

Sie sehen gerade einen Platzhalterinhalt von YouTube. Um auf den eigentlichen Inhalt zuzugreifen, klicken Sie auf die Schaltfläche unten. Bitte beachten Sie, dass dabei Daten an Drittanbieter weitergegeben werden.

Mehr Informationen

Wir verfügen über sehr vielfältige Möglichkeiten, Ihr Schmerzempfinden auszuschalten und Ihnen Ihre Angst zu nehmen. Die folgende Auflistung soll Ihnen nur einen kleinen Einblick geben. Bitte sprechen Sie uns an, wenn Sie Näheres über die einzelnen Methoden erfahren möchten.

Veneers Frontzähne - Vorher / Nachher - Ansicht
Ästhetische Zahnkorrektur mittels Veneers - Vorher / Nachher
3D-Implantatplanung

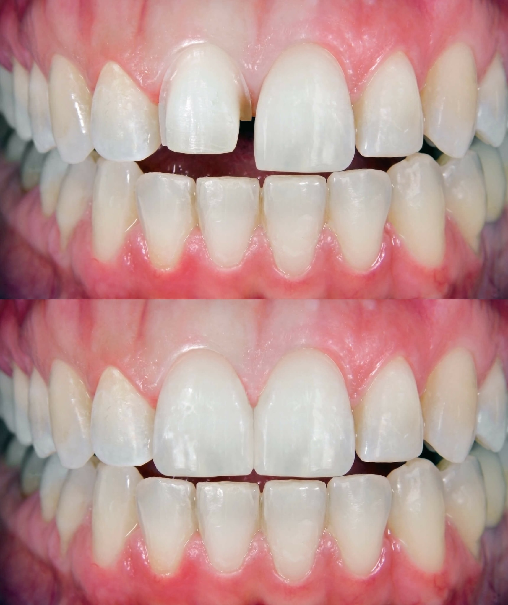
Veneers - Vorher / Nachher

Mithilfe der dünnen Veneer Verblendschalen aus Keramik lassen sich kleine Zahndefekte und irreversible Verfärbungen dauerhaft abdecken – und das ganz ohne Bohren. Besonders im Frontzahnbereich bieten Veneers somit eine effektive Möglichkeit eine sichtbaren ästhetischen Effekt zu erzielen. Selbst für die ästhetische Zahnkorrektur, das heißt die Begradigung geringfügig schiefer Zähne, sind Veneers geeignet. Auf dem Bild sieht man eine Veneerbehandlung der oberen Schneidezähne. Durch den Einsatz der Veneers wurde der kleinere Schneidezahn optisch angeglichen, sodass sich sowohl ästhetisch ein stimmiges Bild ergibt als auch die Biss- & Kauffunktion in diesem Bereich wieder ausgeglichen werden konnte.

> Weitere Vorher-Nachher-Eindrücke in unserer Behandlungsgalerie

Material

Aus welchem Material bestehen Veneers?

Insbesondere im Frontzahnbereich bestehen hohe Ansprüche an ästhetische Restaurationen. Veneers bestehen daher fast immer aus widerstandsfähigen dentalen Keramiken (Vollkeramik oder Keramik-Kunststoff-Komposite), die im Dentallabor, beispielsweise durch CAD/CAM-Verfahren, zu maßgeschneiderten Schalen verarbeitet werden. Gründe für den Einsatz von dentaler Keramik für Veneers sind unter andrem die Lichtdurchlässigkeit sowie die hervorragende Farb-Variabilität des Materials. Aber auch die Belastbarkeit, Haltbarkeit und Biokompatibilität machen keramische Werkstoffe zu einer ausgezeichneten Wahl für Veneers. Bei der Methode des direkten Veneerings kommt hingegen ein formbares Komposit (eine Verbindung aus Keramik-, Quarz- und Glaspartikeln) zum Einsatz, das schichtweise auf den Zahn aufgetragen und ausgehärtet wird, um die natürliche Ästhetik des Zahns Schritt für Schritt nachzubilden.

Haltbarkeit

Wie oft müssen Veneers erneuert werden?

Keramische Versorgungen wie Veneers sind ausgesprochen belastbar und stabil, wodurch sie eine sehr gute Haltbarkeit und Lebensdauer besitzen. Langzeitstudien zeigen, dass 93 % aller keramischen Versorgungen auch nach 10 Jahren noch intakt sind – wobei Bruxismus (Zähneknirschen) zu den Hauptverursachern für etwaige Beschädigungen gezählt werden kann. Bei Komposit-Versorgungen können nach einigen Jahren vor allem Verfärbungen auftreten, die eine Erneuerung notwendig machen.

Grundlegend lässt sich die zu erwartende Lebensdauer der verschiedenen Versorgungen wie folgt einschätzen:

Art Haltbarkeit
Konventionelle Veneers ≈ 10 – 20 Jahre
Non-Prep-Veneers ≈ 5 – 10 Jahre
Komposit-Veneers ≈ 5 – 7 Jahre
Wann sind Veneers die beste Wahl?

Wann sind Veneers sinnvoll & für wen sind sie geeignet?

Veneers sind für Patienten mit bleibenden Zähnen geeignet, die sich Ihre Frontzähne verschönern lassen wollen, ohne dafür viel gesunde Zahnhartsubstanz opfern zu müssen. Da die Anwendungsbreite sehr groß ist, werden Veneers überall dort eingesetzt, wo die Zahnästhetik beeinträchtigt ist und die Patienten sich schöne Zähne wünschen. Mögliche Indikationen für Veneers sind:

Veneers bei Verfärbungen

Kaffee, Tee, Rotwein und Nikotin können unschöne Verfärbungen an und auf den Zähnen hinterlassen. Manchmal sind die Verfärbungen so hartnäckig, dass selbst die professionelle Zahnreinigung und eine Zahnaufhellung (Bleaching) keine zufriedenstellenden Ergebnisse liefern kann. Ein Veneer ist hier sehr gute Alternative, da es irreversible Verfärbungen der Zähne dauerhaft abdeckt. Auch für verfärbte Füllungen auf den Vorderzähnen und grau gewordene wurzelbehandelte Zähne sind Veneers geeignet. Allerdings empfiehlt sich bei grauen, toten Zähnen eine Vorbehandlung durch Bleaching (Walking-Bleach-Technik).

Veneers können so auf die Vorderzähne angepasst werden, dass sie kleinere Zahnlücken, wie sie häufig bei einer Parodontitis entstehen, perfekt kaschieren. Eine Parodontitis sollte vorher jedoch behandelt werden. Bei einer Zahnlücke durch Zahnverlust hilft allerdings nur eine Zahnbrücke oder ein Zahnimplantat.

Veneers können so auf die Vorderzähne angepasst werden, dass sie kleinere Zahnlücken, wie sie häufig bei einer Parodontitis entstehen, perfekt kaschieren. Eine Parodontitis sollte vorher jedoch behandelt werden. Bei einer Zahnlücke durch Zahnverlust hilft allerdings nur eine Zahnbrücke oder ein Zahnimplantat.

Wenn ein Stück des Zahnes abgebrochen oder abgesplittert ist, stellt ein Veneer die schöne, vollständige Optik des Zahnes wieder her. Als Alternative für ein Veneer bietet sich hier eine Zahnrestaurationen mit Kompositen an. Eine Zahnkrone empfehlen wir in diesem Fall nur in Ausnahmefällen, da für die Anpassung gesunde Zahnsubstanz abgeschliffen werden muss.

Mit Veneers können leicht schiefe Zähne im Vorderzahnbereich begradigt werden und sind somit eine schnelle und vergleichsweise preisgünstige Alternative zur Zahnspange. Wichtig ist allerdings, dass die Zahnfehlstellung nicht mit einem falschen Biss (Okklusionsstörungen) verbunden ist. Mit Veneers kann man in diesen Fällen zwar die Optik, jedoch nicht den Zusammenbiss korrigieren (siehe hierzu auch: Wann besser keine Veneers).

Wann gibt es bessere Alternativen?

Wann besser keine Veneers? (Kontraindikationen)

Auch wenn Veneers einen breiten Anwendungsbereich für ästhetischen Zahnkorrekturen bieten, gibt es dennoch Diagnosen, die nicht mit dem Einsatz von Veneers korrigiert werden können:

Okklusionsstörungen (Fehlbiss)

Ein Fehlbiss kann zu schmerzhaften Folgebeschwerden wie Kiefergelenkschmerzen, Migräne, Tinnitus und Verspannungen in der Muskulatur führen. Außerdem werden durch den fehlerhaften Zusammenbiss einige Zähne stärker belastet als andere, was die Haltbarkeit der Veneers deutlich einschränken könnte. In diesen Fällen ist eine Korrektur des Fehlbisses mit einer Zahnspange die bessere Alternative – zum Beispiel mit der „unsichtbaren Zahnspange“ (Invisalign®) wobei die anschließende Feinjustierung durchaus unter Einsatz eines Veneers erfolgen kann. Sprechen Sie uns einfach auf die verschiedenen Möglichkeiten an.

Beim häufig stressbedingten nächtlichen Zähneknirschen reiben die Zähne aufeinander und sind einem sehr starken Druck ausgesetzt, weshalb Veneers (LUMINEERS®) für Zähneknirscher keine gute Wahl. Bruxismus schädigt übrigens nicht nur die Zähne, sondern führt häufig zu einem Fehlbiss mit all seine schmerzhaften Beschwerden. Das entsprechende Krankheitsbild wird unter dem Begriff Craniomandibuläre Dysfunktion (CMD) zusammengefasst. Wenn auch Sie nachts mit den Zähnen knirschen, lassen Sie sich in der Praxisklinik über die möglichen Behandlungsmöglichkeiten und über Alternativen zu Veneers informieren. Wir beraten Sie gern.

Extrem braune, gelbe oder graue Verfärbungen sind durch die Keramikverblendungen sichtbar. Bei stark ergrauten wurzelbehandelten Zähnen kann eine vorherige Aufhellung mit der Walking-Bleach-Technik eine gute Vorbereitung für die Versorgung mit einem Veneer oder LUMINEER® sein.

Auf Zähne, die durch die Kariesbehandlung viel Substanz verloren haben, sollte man besser keine Veneers kleben, weil diese den Veneers zu wenig Haftfläche bieten. In solchen Fällen sind Zahnkronen die bessere Wahl.

Zahnerkrankungen wie eine Karies oder Parodontitis müssen vor der Versorgung mit einem Veneer ausgeheilt sein.

Veneers sind nur für bleibende Zähne und nicht für Milchzähne geeignet. Der Zahnarzt wird deshalb versuchen, Milchzähne durch andere Maßnahmen zu erhalten, da sie als Platzhalter für die bleibenden Zähne sehr wichtig sind.

Während sich kleinere Fehlstellungen wie Lücken mit Veneers sehr gut kaschieren lassen, können schwere Fehlstellungen wie gedrehte, hervorstehende oder überlappende Zähne nur durch umfassendere kieferorthopädische Behandlungen korrigiert werden.

Bei freiliegenden Zahnhälsen oder stark abgenutzten Zähnen ist oft nicht genügend Zahnhartsubstanz vorhanden, um eine sichere Befestigung der Veneers zu garantieren.

Übersicht

Vor- & Nachteile von Veneers und Lumineers®

Vorteile Veneers

Weitere Vorteile bei LUMINEERS®

Nachteile Veneers und LUMINEERS®

Alternative Behandlungen

Welche Alternativen gibt es zu Veneers?

In der folgenden Übersicht haben wir Ihnen die Vorteile von Veneers in Relation zu ihren Alternativen zusammengetragen:

Anwendungsbereich Veneers Alternative zu Veneers Vorteil Veneers
Zahnverfärbungen Bleaching dauerhaft weiße Zähne
Kleinere Kariöse Defekte Zahnkrone deutlich weniger Verlust von Zahnsubstanz bei der Präparation des Zahnes
Wurzelbehandelte graue Zähne Walking-Bleach-Technik (Bleaching des Zahns von innen) In Kombination mit der Walking-Bleach-Technik bei stark ergrauten Zähnen sehr ästhetisches Ergebnis
Lücken zwischen den Vorderzähnen Zahnkorrektur mit Zahnspange schnellere und kostengünstigere Lösung
abgebrochene Zahnecken Zahnkrone weniger Verlust von Zahnsubstanz
Zahnaufhellung Bleaching dauerhafte Zahnaufhellung
Korrektur von leichten Zahnfehlstellungen Zahnkorrektur mit Zahnspange schnellere und kostengünstigere Lösung
Größenangleich von Vorderzähnen Abschleifen des größeren eines Zahnes oder Zahnkrone weniger Verlust von Zahnsubstanz
unansehnliche, verfärbte Füllungen im Vorderzahnbereich neue Füllung oder Zahnkrone ästhetischer als Füllung und weniger Verlust von Zahnsubstanz als bei Zahnkrone
Unterschiede zwischen Versorgungen

Was ist der Unterschied zwischen Veneers und Kronen?

Kronen kommen in der Zahnmedizin immer dann zum Einsatz, wenn die natürliche Zahnkrone erhebliche Schäden erlitten hat, die durch andere Maßnahmen wie Füllungen oder Inlays nicht mehr behoben werden können. Das kann z. B. durch die Einwirkung von Karies, aber auch aufgrund von Frakturen und Absplitterungen oder starken Verfärbungen der Fall sein. Eine künstliche Krone aus Keramik oder Metall bildet die ursprüngliche Form des über dem Zahnfleisch liegenden Teil des Zahnes teil- oder vollumfänglich nach und wird in der Regel mittels eines medizinischen Klebers oder Zements auf den zuvor präparierten bzw. beschliffenen Rest des Orginalzahns aufgesetzt.

Der Unterschied zwischen Kronen und Veneers liegt also vor allem darin, dass bei einer Versorgung mit einer Krone also üblicherweise deutlich mehr Zahnsubstanz aufgegeben werden als bei einem Veneer. Bei Krankheitsbildern, bei denen die Beschädigung der Zahnsubstanz jedoch bereits weit fortgeschritten und die grundlegende Funktion des Zahns beeinträchtigt ist, sind Veneers nicht die geeignete Wahl, um den Zahn langfristig zu erhalten.

Schritt für Schritt

Veneers - Behandlung & Ablauf

Einer Behandlung mit Veneers bedarf einer gewissen Vorbereitung. Folgende Schritte sind notwendig:

  1. gründliche Untersuchung (Diagnostik)
  2. professionelle Zahnreinigung
  3. evtl. Entfernung von Karies
  4. evtl. Ersatz schadhafter Füllungen
  5. Farbanalyse der Nachbarzähne, wenn das Veneer für einen stark verfärbten Zahn bestimmt ist
Praxisassistenz gleicht in der Praxisklinik Herne die Zahnfarbe einer Patientin für eine Veneer-Behandlung ab.
Praxisassistenz härtet Veneers bei einer Patientin mittels UV Licht in der ZPK Herne

Komposit-Veneers - Ablauf

Veneers aus Kompositen, einem leicht formbaren, zahnfarbenen Verbundmaterial, werden direkt am Zahnarztstuhl hergestellt. Hierfür wird der Zahn zunächst mit einer speziellen Lösung angeraut, nicht jedoch angeschliffen. Anschließend trägt der Zahnarzt die Komposite mit einem speziellen Kompositkleber schichtweise auf den Zahn auf und modelliert ihn auf diese Weise neu. Wie bei der Füllungstherapie mit Kompositen wird auch hier jede einzelne Schicht mit UV-Licht ausgehärtet. Eine Politur bringt den Zahn wieder schön zum Glänze

Keramik-Veneers - Ablauf

Die hochwertigen, sehr natürlich wirkenden Keramik-Veneers werden im Dentallabor hergestellt. Nach Einsetzen der Betäubung schleift der Zahnarzt den Zahn minimalinvasiv an. In der Regel werden dabei maximal 0,5 bis 0,8 mm Zahnhartsubstanz entfernt. Je nach Veneer-Typ ist die Schicht, die weggenommen werden muss, sogar noch dünner. Für den Schleifvorgang setzt Ihr Zahnarzt in Herne einen besonders feinen Diamanten ein, um einen unnötigen Abtrag von Zahnhartsubstanz zu vermeiden. Durch die Präparation des Zahnes wird vermieden, dass der verblendete Zahn hinterher unnatürlich groß und dick wirkt.

Zahnarzt Dr. Rüdiger Mintert erklärt einer Patientin den Ablauf für Keramik-Veneers

Gleich danach wird ein Abdruck vom Zahn genommen und der Patient mit einem vorläufigen Veneer (Veneer-Provisorium) aus Kunststoff versorgt. In einer separaten Behandlungssitzung wird das vom Zahntechniker gefertigte Keramik-Veneer mit Hilfe des aufwendigen Dentinadhäsiv-Verfahrens dauerhaft mit dem Zahn des Patienten verklebt. Diese Technik verlangt dem Zahnarzt viel Können, Erfahrung und Präzision ab. Sie sorgt dafür aber auch für einen garantiert dauerhaften und stabilen Verbund zwischen Zahn und Veneer. Allergien gegen Keramik sind so gut wie nicht bekannt. Die Erfahrung zeigt, dass handwerklich perfekt hergestellte Veneers 15 Jahre und länger halten können.

Ablauf Lumineers

Das Behandlungsverfahren bei LUMINEERS® und konventionellen Veneers ähneln sich. Der große Unterschied besteht darin, dass der Zahn vorher kaum oder gar nicht präpariert werden muss.

Sie sehen gerade einen Platzhalterinhalt von Vimeo. Um auf den eigentlichen Inhalt zuzugreifen, klicken Sie auf die Schaltfläche unten. Bitte beachten Sie, dass dabei Daten an Drittanbieter weitergegeben werden.

Mehr Informationen
Dauer

Wie lange dauert die Behandlung mit Veneers?

Für Komposit-Veneers „am Zahnarztstuhl“ (Chairside) sollten Patienten mit gesunden Zähnen zwei Behandlungssitzungen einplanen (inklusive Voruntersuchung/Beratung und Präparation).

Bei Keramik-Veneers aus dem Dentallabor (Labside) erstreckt sich der Behandlungszeitraum aufgrund der individuellen Fertigung im Dentallabor über zehn bis vierzehn Tage. LUMINEERS® (in der Praxisklinik Herne „Veneers by Cerinate®“) werden direkt beim Hersteller gefertigt. Die Befestigung der Veneers auf den Zähnen dauert etwa 2 Stunden.

Falls eine vorherige Kariesbehandlung, Parodontitis-Behandlung, Wurzelkanalbehandlung oder kieferorthopädische Behandlung notwendig wird, verlängert sich die Gesamt-Behandlungszeit um den entsprechenden Zeitraum.

Kosten

Was kosten Veneers pro Zahn?

Hierzu kann keine pauschale Aussage getroffen werden, da sich die Kosten nach der notwendigen Vorbehandlung, dem ausgewählten Material, dem Herstellungsverfahren und dem individuellen Zeitaufwand des Zahnarztes richten. Die tatsächlich entstehenden Kosten ergeben sich aus dem patientenindividuellen Heil- und Kostenplan. Da es sich bei Veneers um kosmetische Versorgungen handelt, werden die Kosten nicht von den gesetzlichen Krankenkassen übernommen.

Die im Folgenden genannten Kosten je Zahn beziehen sich auf die reine Veneer-Versorgung und kann nur als grobe Richtschnur dienen:

Veneers Kosten
Konventionelle Veneers 1.200 bis 1.500€ pro Zahn
Lumineers 700 bis 1.200€ pro Zahn
Sofort Veneers 300 bis 400€ pro Blende
Einflussfaktoren Preis

Welche Faktoren beeinflussen den Preis für Veneers?

Art der Veneers
Welche Veneers sollen / müssen eingesetzt werden? Konventionelle Veneers, Non-Prep-Veneers, Lumineers?
Anzahl der zu behandelnden Zähne
Wie viele Zähne müssen mit Veneers versorgt werden?
Zustand der Zähne (Defekte, Verfärbungen, etc.)
Werden zusätzliche Vorbehandlungen wie kieferorthopädische, Karies- oder Parodontitis-Behandlungen benötigt? Soll zusätzlich ein Bleaching durchgeführt werden?
Laborkosten
Die Kosten für Verbrauchsmaterialien, Provisorienherstellung und individuelle Anfertigung
Versicherung
Qualifikation & Honorar des Zahnarztes
Regionale Unterschiede
Zuschüsse

Werden Veneers von der Krankenkasse übernommen?

Eine Versorgung mit Veneers wird in der Regel nicht von den gesetzlichen Krankenkassen übernommen, da es sich meist um eine rein ästhetische Behandlung ohne medizinische Notwendigkeit handelt (Privatleistung). Wenn eine solche nachgewiesen werden kann – bspw. bei einem abgebrochenen Zahn –, bemisst sich der Festzuschussbetrag üblicherweise anhand der entsprechenden, von den Krankenkassen als gleichwertig beurteilten Regelversorgungsleistung, z. B. einer Zahnkrone. Der bewilligte Zuschuss kann jedoch auch für eine alternative Versorgung, zum Beispiel mit einem Veneer, eingesetzt werden. Private Krankenkassen oder Zusatzversicherungen ermöglichen Konditions-abhängig gegebenenfalls eine Voll- oder Teil-Übernahme der Kosten, wenn der Eingriff nicht ausschließlich ästhetisch motiviert ist.

Gut zu wissen

Weitere Fragen & Antworten zum Thema Veneers

Kann man mit Veneers alles Essen und Trinken?

Ja! Alles, was Sie mit natürlichen Zähnen essen und trinken können, können Sie auch mit Veneers zu sich nehmen.

Nein. Die für Veneers verwendeten dentalen Keramiken können nicht durch ein Bleaching aufgehellt werden. Für ein gleichmäßigeres Zahnbild empfiehlt es sich, die Zähne bereits vor dem Veneering zu bleachen und die Farbe der Veneers anhand der aufgehellten Nachbarzähne auszurichten.

Die Versorgung mit Veneers ist in der Regel vollkommen schmerzfrei, da nur der Zahnschmelz präpariert oder beschliffen wird, nicht jedoch das schmerzempfindliche Dentin. Für konventionelle Keramik-Veneers wird jedoch als Vorsichtsmaßnahme eine lokale Betäubung angewendet, um Schmerzen vollständig auszuschließen.

Fachmännisch befestigte Veneers erhöhen das Risiko für Zahnerkrankungen üblicherweise nicht. Bei unsachgemäßer Befestigung können sich jedoch Keime oder Bakterien im Bereich der Klebung ansiedeln, die Auslöser für Karies oder eine Parodontitis sein können. In seltenen Fällen kann das Beschleifen der Zahnsubstanz zudem die Wärme- bzw. Kälte-Empfindlichkeit des Zahnes verändern.

Ja. Alle Arten von Veneer (Prep-Veneers, Non-Prep-Veneers, Lumineers, …) können wieder vom Zahn gelöst werden. Für konventionelle Veneers beschliffene Zähne wird nach dem Lösen jedoch eine Neuversorgung benötigt, da das Entfernen der Zahnsubstanz nicht reversibel ist.

Die Anzahl der benötigten Veneers hängt von Ihrer Zahnsituation sowie von Ihren persönlichen Vorstellungen ab. Die besten Ergebnisse werden im Allgemeinen jedoch mit paarweise eingesetzten Veneers (2, 4, 6, …) erzielt, die ein gleichmäßiges, ästhetisches Zahnbild ergeben.

Ja, das geht. Ein im Vorfeld erfolgtes Bleaching der übrigen Bezahnung kann bspw. die Integration von Veneers optisch unterstützen und zu einem harmonischen Gesamtbild beitragen. Lassen Sie sich von Ihrem Zahnarzt zu den Therapie-Möglichkeiten beraten.

Da die Zähne für den Einsatz von konventionellen Veneers beschliffen werden und entsprechend Zahnschmelz aufgegeben werden muss, sollten Sie sich vor einer Behandlung von Ihrem Zahnarzt beraten lassen. Zudem sollten Sie sich bewusst machen, dass es sich bei diesem Verfahren (wie bspw. auch beim Einsetzen einer Krone) um eine nicht-reversible Therapie-Möglichkeit handelt. Sollte ein Entfernen der Veneers gewünscht sein, muss auf eine neue oder alternative Versorgung zurückgegriffen werden. Komposit- und Non-Prep-Veneers sowie die Expertise des behandelnden Arztes verringern jedoch die erforderliche Schmelzabtragung.

Wenngleich beide Methoden für optimale Ergebnisse kombiniert werden können, gibt es deutliche Unterschiede in den möglichen Einsatzgebieten. Ein professionelles Bleaching zielt zwar ebenso wie Veneers auf eine grundlegende Verbesserung der Zahnästhetik, beeinflusst jedoch nur die Zahnfarbe – Form und Zustand der Zähne bleiben unberührt. Ein Bleaching eignet sich also vor allem für Menschen, die ausschließlich eine Zahnaufhellung wünschen. Mit Veneers können hingegen auch kleinere Zahnschäden und Absplitterungen kaschiert, Zahnlücken ausgeglichen oder die Größe der Zähne angepasst werden. Aus diesem Grunde eignen sich Veneers insbesondere für Personen, die sich neben einem Aufhellungseffekt eine umfassendere Anpassung Ihrer Zähne wünschen.

Von einem spezialisierten Zahnarzt angebrachte Veneers können in der Regel nicht abfallen. Hauptgründe für den Verlust oder die Beschädigung eines Veneers sind meist nicht fachmännisch ausgeführten Verklebung, häufiger jedoch extreme Krafteinwirkung wie Zähneknirschen, weshalb Patienten, die unter Bruxismus leiden, zum Erhalt der Veneers zusätzlich eine Aufbissschiene erhalten sollten.

Da ein Zahn für das Einsetzen einer Krone stärker beschliffen werden muss, als für eine Versorgung mittels Veneer, kann nicht von einer Krone zu einem Veneer gewechselt werden. Auch können Veneers nicht auf Kronen gesetzt werden. Sollte der Wunsch nach einer optischen Veränderung bestehen, sollte ein Austausch des Zahnersatzes mit dem behandelnden Zahnarzt besprochen werden.

Bei Veneers aus Keramik müssen grundsätzlich keine Verfärbungen befürchtet werden. Der Eindruck, dass Keramik-Veneers mit der Zeit “nachdunkeln”, entsteht bisweilen, wenn sich durch starkes Rauchen Nikotin auf der Oberfläche der Keramik ablagert oder nach einigen Jahren Farbveränderungen an den Kleberändern auftreten. Veneers aus Komposit können mit der Zeit zwar ein wenig matter werden, eine Politur oder ein neuer Überzug bringen die Veneers in einem solchen Fall jedoch schnell wieder “auf Vordermann”. Eine sorgfältige Mundhygiene, professionelle Zahnreinigungen und regelmäßige Kontrolluntersuchungen helfen zusätzlich dabei, Ihre Veneers lange weiß zu halten.

Eine gründliche Mundhygiene ist sowohl für die natürlichen Zähne als auch für die Veneers unerlässlich. Dabei brauchen Sie für die Veneers keine speziellen Pflegemethoden beachten. Der Einsatz von Zahnbürste, Zahnseide und Mundspülungen reicht vollkommen. Eine unzureichende Mundhygiene kann hingegen dazu führen, dass sich Kariesbakterien hinter den Keramikschalen festsetzen und dort Karies verursachen. Für den langfristigen Erhalt Ihrer Veneers empfehlen wir Ihnen neben einer exzellenten Zahnpflege den regelmäßigen Check-up in der Praxisklinik Herne.

Veneers halten je nach Qualität und Beanspruchung 10 bis 15 Jahre.

Im Vergleich zu Keramik-Veneers zeichnen sich LUMINEERS® oder Non-Prep-Veneers vor allem durch ihre extrem dünne Bauweise aus. Gerade einmal 0,3 bis 0,5 mm dick (Veneers: 0,8 bis 2mm), können Non-Prep-Veneers häufig ohne eine vorheriges Beschleifen auf den Zahn aufgeklebt werden. Das schont nicht nur wertvolle Zahnsubstanz, sondern macht meist sogar Betäubungen überflüssig.

Ja. Komposit- und Keramik-Veneers, wie auch LUMINEERS®, können vom Zahnarzt wieder entfernt werden. Das kann zum Beispiel notwendig sein, wenn am Material Schäden auftreten oder eine grundlegende Erneuerung des Veneers ansteht. Da, je nach gewählter Veneer-Art, der behandelte Zahn beim Anbringen des Veneers jedoch unter Umständen geringfügig beschliffen wurde, kann es notwendig sein, den betroffenen Zahn nach dem Entfernen anderweitig zu versorgen (etwa durch eine Zahnkrone) oder neu zu präparieren (z.B. für einen neuen Veneer).

Quellen

Avatar group
Noch Fragen?

Haben Sie noch Fragen zur Praxisklinik Herne oder möchten gleich einen Termin mit uns vereinbaren? Dann freuen wir uns auf Ihren Anruf.

Ähnliche Themen
Das könnte Sie auch interessieren