Bei der modernen Form der Zahndiagnostik geht es vor allem darum nicht den einzelnen Zahn zu betrachten, sondern die gesamten Zusammenhänge rund um das Thema Gebiss. Im Kiefer befinden sich umzählige Muskeln, die mit dem gesamten Körper verbunden sind. Die Grundlage jeder Arbeit ist daher eine erstklassige und umfassende Diagnose zu erstellen, um die Maßnahmen so präzise wie möglich zu gestalten. Dazu hat sich die ZPK-Herne mit der modernsten Technik ausgestattet.
Es gibt viele unterschiedliche Arten eine Diagnose zu stellen. Eine davon ist die schmerzfreie Kariesdiagnose per Laser. Damit lassen sich frühzeitig pathologische Veränderungen wie Initialläsionen, Demineralisationen, Schmelzveränderungen und Fissurenkaries feststellen, noch bevor der Schmerz einsetzt.
Eine frühzeitige Erkennung einer Cranio-Mandibulären-Dysfunktion (CMD) ist ebenfalls ein wichtiger Bestandteil der diagnostischen Arbeiten der Praxisklinik Herne. Eine frühe Erkennung ermöglicht schnelles Eingreifen und Behandeln der Schmerzen.
Gerade in den Bereichen von Know-how und Technik bieten wir Ihnen als Praxisklinik entscheidende Vorteile, die Ihnen bei niedergelassenen Zahnarztpraxen häufig fehlen.




Die zahnärztliche Anamnese in der Praxisklinik Herne dient der Erfassung Ihrer Krankengeschichte. Informationen über Ihr gesundheitliches Vorleben und Ihren aktuellen Gesundheitszustand sind für uns von großer Wichtigkeit. Sie unterstützen uns bei der Beurteilung Ihrer oralen Erkrankung. Sicherlich kennen Sie bereits den sogenannten Anamnesebogen, der Ihnen in Arzt- bzw. Zahnarztpraxen zum Ausfüllen ausgehändigt wird. Er enthält ganz konkrete Fragen zu Ihren aktuellen Erkrankungen, Vorerkrankungen, zu Ihrer Tabletteneinnahme und zu einer eventuell bestehenden Schwangerschaft. In der Praxisklinik Herne arbeiten wir nicht mit Anamnesebögen, sondern mit infoscop®, ein Computerprogramm, das in Kombination mit dem Ipad die Kommunikation mit unseren Patienten revolutioniert hat. Mehr über die Anamnese in der Praxisklinik Herne erfahren.
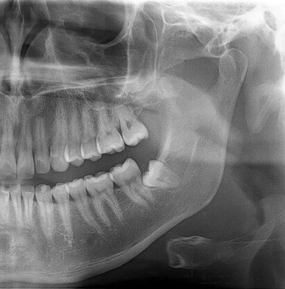
Das in der Praxisklinik Herne eingesetzte digitale Röntgen ist der konventionellen Röntgenmethode mit Filmen haushoch überlegen. Auf den kontrastreichen digitalen Röntgenbildern werden auch kleinste Details Ihres Kauapparates abgebildet. So lassen sich auf ihnen beispielsweise erste Anzeichen für Entzündungserkrankungen und einen Knochenabbau erkennen. Außerdem ist die Strahlenbelastung beim digitalen Röntgen um sage und schreibe 90% geringer als bei der herkömmlichen Röntgenmethode. Mehr über digitales Röntgen in der Praxisklinik Herne erfahren.
Röntgen mit DVT (Digitaler Volumentomograph) ist das Pendant in 3D zum digitalen 2D-Röntgen. 3D-Röntgen hat die Zahndiagnostik in Herne und insbesondere die Implantologie revolutioniert, denn sie ermöglicht die exakte räumliche Beurteilung und Vermessung des Kauapparates. Sie gibt nicht nur Auskunft über das noch vorhandene Knochenangebot, sondern auch über die Zahnstellung sowie die Lage von Kieferhöhlen und Nervenbahnen. Die Ergebnisse der 3D-Diagnostik ermöglichen die Planung der idealen Implantatpositionen unter Ausnutzung des vorhandenen Knochens und unter Umgehung sensibler Strukturen. 3D-(DVT-) Aufnahmen bilden somit die Grundlage für die minimalinvasive Implantologie und verringern das Risiko für Behandlungsfehler. Zu tief oder niedrig gesetzte Implantate, sowie Implantate in falschen Abständen zu benachbarten Strukturen/Zähnen gehören somit der Vergangenheit an. Voraussetzung hierfür ist, dass die Ergebnisse der DVT-Zahndiagnostik von einem entsprechend ausgebildeten und erfahrenen Experten für Implantologie interpretiert wird. Mehr über die DVT-Zahndiagnostik in der Praxisklinik Herne erfahren.
Der Volumentomograph bietet derzeit die genauste 3D-Untersuchungsmöglichkeit bei einer deutlich geringeren Strahlenbelastung gegenüber den bekannten traditionellen Computertomographie. Er erzeugt Schnittbilder des Schädels, womit die Fehlstellungen schneller und eindeutiger gesehen werden können.
Mit Hilfe der zusätzlichen Computer werden die Aufnahmen auch ebenfalls in 3D dargestellt.
Die Funktionsanalyse ist eine zahndiagnostische Methode, mit der wir in Herne die Funktionalität der Kiefergelenke, der Kaumuskulatur und des Zusammenbisses (Okklusion) überprüfen können. Störungen in diesen Bereichen und ihre weit greifenden gesundheitlichen Auswirkungen werden unter dem Begriff craniomandibuläre Dysfunktion, kurz CMD, zusammengefasst. Mehr über die Funktionsanalyse in der Praxisklinik Herne erfahren.
Die herkömmliche Kariesdiagnostik fußt auf klinischen (visuellen) und röntgenologischen Untersuchungen. Sehr modern geht es in der Praxisklinik Herne mit DIAGNOdent® zu – einer lasergestützten Methode der Kariesdiagnostik. Mit DIAGNOdent® lassen sich Initialläsionen, Demineralisationen, Schmelzveränderungen und Fissurenkaries bereits feststellen, bevor überhaupt der Schmerz einsetzt. Je früher Karies mit der richtigen Kariesdiagnostik erkannt wird, desto minimalinvasiver kann sie behandelt und die betroffenen Zähne langfristig erhalten werden. Mehr zum Thema Zahndiagnostik / Kariesdiagnostik in der Praxisklinik Herne erfahren.
Der Volumentomograph bietet derzeit die genauste 3D-Untersuchungsmöglichkeit bei einer deutlich geringeren Strahlenbelastung gegenüber den bekannten traditionellen Computertomographie. Er erzeugt Schnittbilder des Schädels, womit die Fehlstellungen schneller und eindeutiger gesehen werden können.
Mit Hilfe der zusätzlichen Computer werden die Aufnahmen auch ebenfalls in 3D dargestellt.
Der DIAGNOdent erinnert nicht an typische Zahnarztgeräte, sondern ist ein technisches, „harmloses“ Gerät, das nicht zum Auslöser einer vorhandenen Dentalphobie wird. Für Patienten mit Zahnarztangst ist der DIAGNOdent deshalb besonders geeignet. Auch für Kinder sind solche Geräte spannend, sie wecken die Neugier und lenken so von möglicherweise akuten Ängsten ab.
Und er beugt der Zahnarztangst vor. Denn bei regelmäßiger Kontrolle mit dem DIAGNOdent können zahlreiche Zahnprobleme schon im frühesten Stadium erkannt werden. Größere Eingriffe werden damit seltener, weil rechtzeitig eine Diagnose erstellt werden kann.
Mit der Vitalitätsprüfung lässt sich feststellen, ob und in welchem Maße ein Zahn auf bestimmte Reize wie Kälte, Hitze oder Strom reagiert. Ein „toter Zahn“ reagiert überhaupt nicht mehr auf Reize, während ein Zahn mit entzündeter Zahnwurzel sensibel auf Hitze reagiert. Im Wesentlichen dient die Vitalitätsprüfung, auch Sensibilitätsprüfung genannt, der Feststellung, ob der „Zahnnerv“ (richtiger Pulpa – ein Geflecht aus, Blutgefäßen, Lymphgefäßen und Nervenfasern) abgestorben ist oder nicht. Damit fällt die Vitalitätsprüfung als wichtige Methode der Zahndiagnostik in den Fachbereich der Endodontie. Mehr über die Vitalitätsprüfung in Herne erfahren.
Unter dem Begriff Parondontitis (Parodontose) werden chronische, entzündliche Prozesse im Bereich des Zahnhalteapparates beschrieben, die bereits zu einem Knochenabbau geführt haben. Bei der Entstehung der Parodontitis handelt es sich um ein multifaktorielles Geschehen, ausgelöst von bestimmten Bakterien und begünstigt durch eine zu schwache immunologische Antwort auf diese Bakterien. Sowohl die Zahn – Diagnostik als auch die Behandlung der oft hartnäckigen Parodontitiden sind sehr anspruchsvoll. Mehr zum Thema Zahndiagnostik / Parodontitis-Diagnostik in der Praxisklinik Herne erfahren.
Der Bakterientest ist eine diagnostische Methode zur Identifizierung der Bakterienarten, die zum Beispiel an der Entstehung von Parondontitis, Implantat-Entzündungen („Periimplantitis“) und Karies beteiligt sind. Er wird meist dann durchgeführt, wenn sich eine Parondontitis über einen längeren Zeitraum als therapieresistent erweist. Doch auch in der Kariesdiagnostik findet er Anwendung. Anders als der aufwendige Bakterientest findet der Plaque-Färbetest nicht im mikrobiologischen Labor, sondern in der Zahnarztpraxis oder zu Hause statt. Er ist eher Hilfsmittel für die Verbesserung der häuslichen Mundpflege. Mehr über den Bakterientest in der Praxisklinik Herne erfahren.
Mit dem sogenannten Periotest® lässt sich der Grad von Zahnlockerungen feststellen. Die Ergebnisse dieses Tests sind vor allem in der Parodontologie und in der Implantologie von Bedeutung. Eine Parodontitis ist meist mit einem mehr oder weniger ausgeprägten Knochenabbau verbunden. Geht der Knochen zurück, lockern sich die Zähne und fallen im schlimmsten Fall aus. Der Zahnlockerungsgrad gibt dem Zahnarzt für Parodontologie unter anderem Auskunft darüber, ob Zähne noch erhalten werden können oder ob sie entfernt werden müssen. In der Implantologie wird mit dem Periotest ermittelt, ob Zahnimplantate fest mit dem Knochen verwachsen sind und somit voll belastet werden dürfen. Mehr Infos zur Zahndiagnostik mit Periotest in Herne.
In der Praxisklinik Herne bieten wir Ihnen als Leistung der gesetzlichen Krankenkassen (exklusive Materialkosten!) im Rahmen der Speicheldiagnostik einen Test an, um auffällige Mundschleimhautveränderungen zu identifizieren. Hierfür setzen wir in unserer Praxis die Bürstenbiopsie „OralCDx“ ein, die eine Auswertung mit dem Computer ermöglicht. Mundschleimhautveränderungen werden in den seltensten Fällen von Tumoren verursacht. Dennoch empfiehlt es sich, derartige Veränderungen vom Zahnarzt abklären lassen, insbesondere wenn Sie plötzlich Zungenbrennen, einen trockenen Mund, Mundgeruch, Zahnfleischbluten oder schmerzhafte Entzündungen an sich wahrnehmen. Mehr erfahren über die Speicheldiagnostik in der Praxisklinik Herne.
Wir verwenden in unserer Praxis eine Computer-ausgewertete Bürstenbiopsie „OralCDx“, um alltäglich, harmlos erscheinende Mundschleimhautveränderungen frühzeitig zu untersuchen und abzuklären, um was für eine Erkrankung es sich handelt.
Es ist wichtig, solche Veränderungen frühzeitig zu diagnostizieren und zu behandeln, ohne Zeit durch lange Beobachtungsphasen zu verlieren.
Es handelt sich bei der Bürstenbiopsie um einen minimal-invasiven Eingriff, der ohne Lokalanästhesie (Betäubung) durchgeführt werden kann. Es wird hierbei ein Abstrich von der lokalen Veränderung genommen und dieser wird schnellstmöglichst in einem Labor ausgewertet.
Bei einer Bürstenbiopsie werden Zellen aus der Schleimhaut entnommen, in der Regel wenn eine Mundschleimhautveränderung diagnostiziert wurde. Dabei wird die Bürste auf die Mundschleimhaut gedrückt und gedreht. So werden aus allen Schichten der Mundschleimhaut Zellen entnommen. Diesen kleinen Eingriff können wir sehr leicht während der Zahnarztbehandlung durchführen. Die Bürstenbiopsie hat den Vorteil, dass sie äußerst schnell ausgewertet werden kann. Sie trägt damit zur Krebsfrüherkennung bei.
Mundschleimhautveränderungen laufen in der Regel ohne größere Komplikationen ab. Allerdings ist es wichtig, die Mundschleimhautveränderung beim Zahnarzt abklären zu lassen, um gefährliche Krankheiten auszuschließen – und im Fall eines frühzeitig erkannten Karzinoms die Heilungschancen deutlich zu erhöhen. Typische Symptome einer Mundschleimhautveränderung sind:
Sollten Sie bei sich eines oder mehrere dieser Symptome feststellen, ist der frühzeitige Besuch beim Zahnarzt in jedem Fall ratsam, um sicherzugehen – auch in Sachen Krebsfrüherkennung.
Gerade schmerzhafte Entzündungen können selbstverständlich auch auf andere Erkrankungen hinweisen, wie eine Parodontitis beispielsweise. Nicht jede Entzündung deutet auf eine Mundschleimhautveränderung und schon gar nicht auf ein Karzinom. Entscheidend ist die genaue Diagnose. In der ZPK Herne haben wir uns zudem auf Parodontologie spezialisiert, um Ihnen auch in diesem Bereich optimal helfen zu können.
Sie sehen gerade einen Platzhalterinhalt von Vimeo. Um auf den eigentlichen Inhalt zuzugreifen, klicken Sie auf die Schaltfläche unten. Bitte beachten Sie, dass dabei Daten an Drittanbieter weitergegeben werden.
Mehr InformationenSie sehen gerade einen Platzhalterinhalt von YouTube. Um auf den eigentlichen Inhalt zuzugreifen, klicken Sie auf die Schaltfläche unten. Bitte beachten Sie, dass dabei Daten an Drittanbieter weitergegeben werden.
Mehr InformationenSie müssen den Inhalt von reCAPTCHA laden, um das Formular abzuschicken. Bitte beachten Sie, dass dabei Daten mit Drittanbietern ausgetauscht werden.
Mehr InformationenSie sehen gerade einen Platzhalterinhalt von ProvenExpert.com. Um auf den eigentlichen Inhalt zuzugreifen, klicken Sie auf die Schaltfläche unten. Bitte beachten Sie, dass dabei Daten an Drittanbieter weitergegeben werden.
Mehr Informationen