Kurvenwunder Katie Price, Frauenschwarm Zac Efron, Sängerin LeAnn Rimes – sie alle haben es getan: den Lückenschluss für ein schöneres Lächeln! Auch drei Viertel der Deutschen (76 Prozent) finden ein sogenanntes Diastema, also einen Spalt zwischen den oberen Schneidezähnen, unattraktiv. Das ermittelte eine repräsentative Umfrage eines Online-Portals. Die Behandlung ist nicht nur etwas für Promis, jedem Betroffenen kann geholfen werden!
Häufig entsteht bei Kindern während des Zahnwechsels eine bis zu mehreren Millimetern breite Lücke zwischen den oberen mittleren Schneidezähnen. In vielen Fällen schließt sich dieser Spalt im Alter von 7 bis 9 Jahren automatisch mit dem Durchbruch der seitlichen Schneidezähne.
Handelt es sich allerdings um ein echtes, erblich bedingtes Diastema, so bildet sich dieses nicht selbst zurück. Ursache ist dann ein zu tief ansetzendes Lippenbändchen an der Innenseite der Lippe.
Als unechte Diastemata werden Zahnlücken bezeichnet, die durch ein Missverhältnis zwischen Zahngrößen und Kieferbreite entstehen. Der Überschuss an Platz verursacht unschöne Spalten – meist im Bereich der oberen Schneidezähne. Grundsätzlich können die Lücken aber an jeder Stelle im Kiefer auftreten.
Es besteht die Möglichkeit, das Lippenbändchen zu korrigieren. Diese Behandlung sollte bei Kindern nach dem Durchbruch der bleibenden seitlichen Schneidezähne durchgeführt werden. Der Eingriff erfolgt meist unter lokaler Betäubung entweder mittels Skalpell oder – deutlich schonender – mit einem Laser. Die Lücke zwischen den Schneidezähnen schließt sich danach i.d.R. innerhalb von drei Monaten. Selten ist zusätzlich eine kieferorthopädische Regulierung der Zahnstellung erforderlich.
Auch bei erwachsenen Patienten ist eine Korrektur des Lippenbändchens und / oder eine kieferorthopädische Behandlung mittels Zahnspange möglich. In vielen Fällen kann die Lücke aber einfach durch künstliche Verbreiterung der Zähne verdeckt werden.
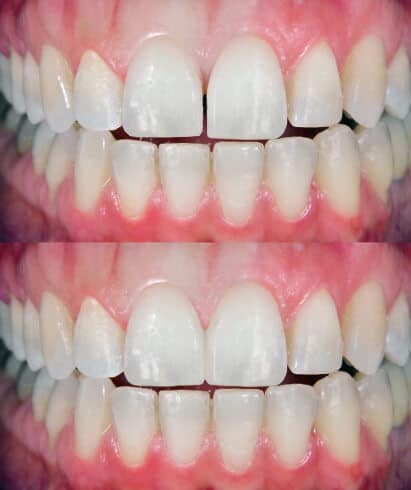
Auf den Schneidezähnen lassen sich hauchdünne Keramikschalen dauerhaft mittels Spezialkunststoff befestigen. Diese sogenannten Veneers bilden die Oberfläche der Zähne perfekt nach und kaschieren gleichzeitig unauffällig den Schönheitsmakel – das Ergebnis wirkt ganz natürlich.
Ist die Lücke nicht zu groß, ist ggf. eine ästhetische Zahnverbreiterung mittels Komposit möglich. Der Zahnarzt trägt das zahnfarbene Material, das auch für Füllungen verwendet wird, direkt auf die Zähne auf und korrigiert ihre Form so, dass der zu große Zwischenraum verschwindet.
Mithilfe der unsichtbaren Invisalign Zahnschienen lassen sich viele Zahnfehlstellungen ohne kieferorthopädische Maßnahmen und binnen weniger Wochen korrigieren. Die Behandlung mit transparenten Invisalign Zahnspangen überzeugt dabei durch eine besonders schonende und gleichzeitig effiziente Korrektur. Die Aligner bieten damit eine tolle Alternative zum Schließen von Zahnlücken zwischen Schneidezähnen. Als zertifizierte Partnerpraxis konnten wir bereits zahlreichen Patienten zu einem echten Hollywoodlächeln verhelfen.
Sie sehen gerade einen Platzhalterinhalt von YouTube. Um auf den eigentlichen Inhalt zuzugreifen, klicken Sie auf die Schaltfläche unten. Bitte beachten Sie, dass dabei Daten an Drittanbieter weitergegeben werden.
Mehr InformationenSie sehen gerade einen Platzhalterinhalt von YouTube. Um auf den eigentlichen Inhalt zuzugreifen, klicken Sie auf die Schaltfläche unten. Bitte beachten Sie, dass dabei Daten an Drittanbieter weitergegeben werden.
Mehr InformationenIst eine Korrektur natürlicher Zahnlücken erwünscht, so sind die entstehenden Kosten i.d.R. vom Patienten selbst zu tragen. Je nach Behandlungsmethode ist der Aufwand unterschiedlich groß: Die kieferorthopädische Behandlung ist komplex und demnach zeit- und kostenintensiv. Die kostengünstigste Option ist die Komposit-Versorgung, die innerhalb eines einzigen Termins durchzuführen ist. Veneers können auf Wunsch auch am selben Tag eingesetzt werden. Möglich ist dies dank Fertigung im eigenen Praxislabor unter Einsatze modernster CAD/CAM-Technologien. Die Kosten für diese Behandlung sind höher als die für Komposit-Versorgungen, dafür sind Keramik-Veneers jedoch auch langlebiger und farbbeständiger. Welche Behandlungsmöglichkeiten bei einem Patienten infrage kommen, kann bei einem persönlichen Termin in der Praxis fachkundig geklärt werden.
Sie möchten Ihre Zahnlücke schließen lassen oder wünschen eine Beratung zum Thema Zahnersatz? Dann rufen Sie uns gleich an 02325 71945 oder nutzen Sie unser Kontaktformular. Wir freuen uns auf ein Erstgespräch.
Sie sehen gerade einen Platzhalterinhalt von Vimeo. Um auf den eigentlichen Inhalt zuzugreifen, klicken Sie auf die Schaltfläche unten. Bitte beachten Sie, dass dabei Daten an Drittanbieter weitergegeben werden.
Mehr InformationenSie sehen gerade einen Platzhalterinhalt von YouTube. Um auf den eigentlichen Inhalt zuzugreifen, klicken Sie auf die Schaltfläche unten. Bitte beachten Sie, dass dabei Daten an Drittanbieter weitergegeben werden.
Mehr InformationenSie müssen den Inhalt von reCAPTCHA laden, um das Formular abzuschicken. Bitte beachten Sie, dass dabei Daten mit Drittanbietern ausgetauscht werden.
Mehr InformationenSie sehen gerade einen Platzhalterinhalt von ProvenExpert.com. Um auf den eigentlichen Inhalt zuzugreifen, klicken Sie auf die Schaltfläche unten. Bitte beachten Sie, dass dabei Daten an Drittanbieter weitergegeben werden.
Mehr Informationen