Sie wünschen sich schöne Zähne? Nehmen Sie ganz einfach Kontakt auf und vereinbaren Sie einen Termin.
In unserer zahnärztlichen Praxisklinik in Herne bieten wir Ihnen ein breites Spektrum modernen zahnmedizinischer Therapiemöglichkeiten: Von professionellen Zahnreinigungen zur Unterstützung der häuslichen Mundhygiene und kleineren zahnästhetischen Korrekturen durch Veneers, Bleachings, Invisalign-Aligner bis hin zur schonenden zahnchirurgischen Implantation werden in unseren Praxisräumen Tag für Tag vielfältige, individuelle dentale Behandlungen durchgeführt, um unseren Patienten und Patientinnen verlässlich zu einem schönen Lächeln zu verhelfen.
Um Ihnen einen besseren Eindruck von unseren Leistungen zu verschaffen, haben wir Ihnen mit dem Einverständnis unserer behandelten Patienten in unserer Galerie mit Vorher-Nachher-Bildern ausgesuchte zahnmedizinischer Behandlungen zusammengestellt.
Da es sich bei den hier aufgeführten Bildvergleichen um dokumentierte Eindrücke aus dem Bereich der ästhetischen Zahnmedizin, Oralchirurgie und Implantologie handelt, möchten wir Sie darauf hinweisen, dass die folgenden Inhalte möglicherweise nicht für alle Personengruppen geeignet sind.
Behandelt durch unser*e Spezialist*in:
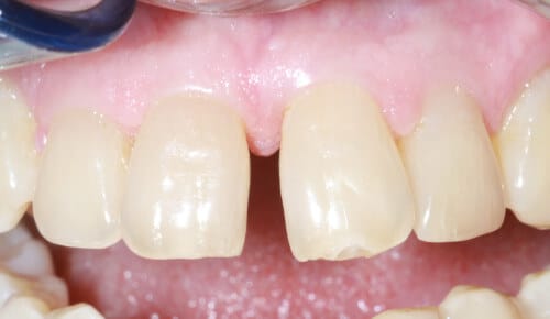
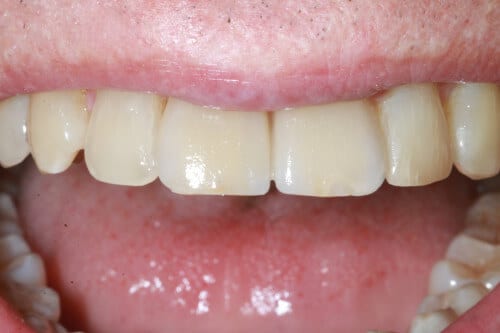
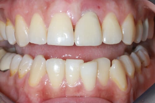
Patient hat seit Jahren in der Oberkiefer Front eine Lücke zwischen den Schneidezähnen und diese stört den Patienten schon länger. Jetzt wünscht er eine Veränderung.
Da die Bißlage es erlaubt, können zwei Veneers auf den Zähnen 11, 21 geklebt werden und die Lücke kann somit geschlossen werden. Dafür müssen die Zähne etwas breiter gestaltet werden. Damit sich der Patient das vorstellen kann, erstellt das Labor aus Wachs zunächst eine provisorische Verblendschale, um dem Patienten ein Bild davon vermitteln zu können.


Behandelt durch unser*e Spezialist*in:
Dr. Katja Grunwald
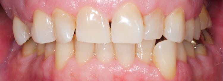
Das Gebiss unseres Patienten wies einen lateralen Kreuzbiss sowie verschachtelte Frontzähne im Unterkiefer auf.
Mithilfe von 15 Schienen über 150 Tage konnten der untere linke Eckzahn eingestellt, die Frontzähne derotiert und die Zahnkurve harmonisiert werden.


Behandelt durch unser*e Spezialist*in:
Der Oberkiefer des Patienten war bereits seit 3 Jahren zahnlos, nachdem die Zähne aufgrund einer starken Parodontitis entfernt werden mussten. Da die Oberkiefer-Totale bereits mehrfach gebrochen war, wünschte sich der Patient nun eine neue Versorgung mittels Implantaten.
Vor dem Setzen der vier Zahnimplantate im Oberkiefer (All-on-Four-Lösung) wurde aufgrund des Knochenverlustes im Oberkiefer zunächst ein Sinuslift sowie eine Vestibulumplastik mit plastischer Deckung notwendig. Zur Augmentation wurde auf Knochersatz Bone Graft, Collagen Block, Membran und Eigenknochen gesetzt. Die navigierte Implantation mittels Bohrschablone (Progressive Line) wurde durch L-PRF Plasma zur Wundheilung unterstützt, wodurch die Einheilphase bereits nach wenigen Monaten beendet war.


Behandelt durch unser*e Spezialist*in:
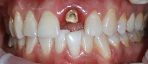
Der betroffene Frontzahn wurde in einer anderen Praxis nach einer Wurzelkanalbehandlung vor 6 Jahren überkront. Diese ist jedoch nach etwa 2 Jahren immer wieder herausgefallen und wurde anschließend nur provisorische eingeklebt. Da die Krone im Anschluss dennoch immer wieder herausgefallen ist, kam die Patientin auf Suche nach Hilfe zu uns.
Aufgrund der vorherigen Behandlung und einer Entzündung an der Wurzelspitze muss der Zahn gezogen werden. Die Patientin entscheidet sich bei der Versorgung der Schaltlücke aufgrund der gesunden Nachbarzähne für eine Implantation. Extraktion und maschinelle Implantation erfolgen innerhalb einer einzelnen Sitzung in Sedierung. Nach der Wundheilung wird eine Zirkonkrone eingeklebt.


Behandelt durch unser*e Spezialist*in:
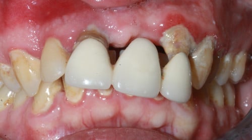
Der Patient war das letzte Mal vor 5 Jahren beim Zahnarzt, dort wurde eine Brücke für die Oberkieferschneidezähne angefertigt. Als der Patient zu uns kam, war diese seit einem Monat gelockert und wurde nur noch von einem Zahn gehalten. Der Patient hatte große Angst, dass diese nun ganz abbricht. Zudem ist der Knochen bis zur Wurzelspitze abgebaut. Einige Zähne müssen dringend gezogen werden.
Die Behandlung (Extraktion und Implantation) findet innerhalb einer einzelnen Sitzung in Vollnarkose statt. Dabei werden mehrere Zähne behutsam gelöst und gezogen und die geplanten Implantate mittels Bohrschablone präzise eingebracht. Hohlräume werden mit Knochenersatzmaterial und Eigenknochen aufgefüllt, die Wunde anschließend plastisch gedeckt. Nach der Heilungsphase werden Zirkonaufbauten auf die Implantate geschraubt und die Keramikbrücke mit Zement aufgeklebt.







Sie sehen gerade einen Platzhalterinhalt von Vimeo. Um auf den eigentlichen Inhalt zuzugreifen, klicken Sie auf die Schaltfläche unten. Bitte beachten Sie, dass dabei Daten an Drittanbieter weitergegeben werden.
Mehr InformationenSie sehen gerade einen Platzhalterinhalt von YouTube. Um auf den eigentlichen Inhalt zuzugreifen, klicken Sie auf die Schaltfläche unten. Bitte beachten Sie, dass dabei Daten an Drittanbieter weitergegeben werden.
Mehr InformationenSie müssen den Inhalt von reCAPTCHA laden, um das Formular abzuschicken. Bitte beachten Sie, dass dabei Daten mit Drittanbietern ausgetauscht werden.
Mehr InformationenSie sehen gerade einen Platzhalterinhalt von ProvenExpert.com. Um auf den eigentlichen Inhalt zuzugreifen, klicken Sie auf die Schaltfläche unten. Bitte beachten Sie, dass dabei Daten an Drittanbieter weitergegeben werden.
Mehr Informationen