Leistung
Zahndiagnostik

Digitales Röntgen in der ZPK Herne

Das digitale Röntgen ist eine hochmoderne Diagnostik-Methode, die in der Praxisklinik Herne selbstverständlich zum Standard gehört.

Digitales Röntgen Zahnarzt
Im Überblick
Inhaltsverzeichnis
Themen im Überblick
Anders als bei der herkömmlichen Röntgenmethode werden für die Aufzeichnung der digitalen Röntgendaten keine Filme benötigt. Stattdessen erfolgt die Aufzeichnung über eine im Mund platzierte Speicherfolie oder – alternativ – einen kabelgebundenen Sensor. Diese Bildempfangssysteme sind weitaus empfindlicher als herkömmliche Röntgen-Folien, weshalb die mit deutlich geringerer Strahlung gearbeitet werden kann.
 
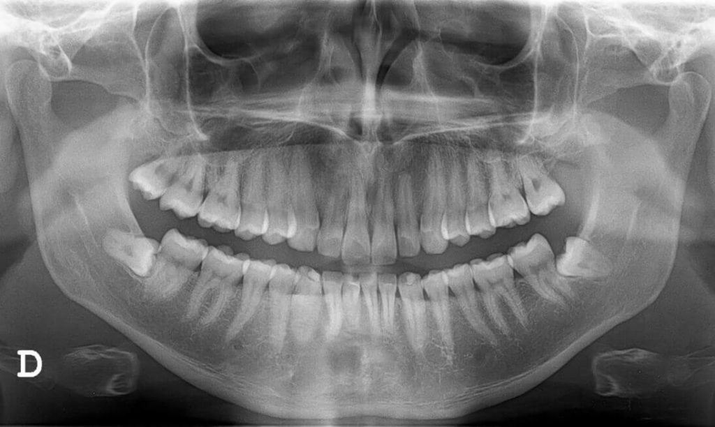
Mit dem digitalen Röntgengerät lassen sich sowohl zweidimensionale Einzelaufnahmen wie auch sogenannte Orthopantomogramme (OPG, PSA) realisieren. Dabei handelt es sich um Panoramaschichtaufnahmen, welche sämtliche Zähne sowie die benachbarten knöchernen Strukturen und Kiefergelenke sowie die Kieferhöhlen abbilden.
Ihre Vorteile beim Röntgen in der ZPK

Röntgen mit geringer Strahlenbelastung

Wann wird digitales Röntgen eingesetzt?

Digitale Einzel-Röntgenaufnahmen werden gefertigt

  • zur Feststellung von Karies
  • im Rahmen der Parodontaldiagnostik zur Beurteilung des Zahnhalteapparates
  • vor Zahnentfernungen
  • im Vorfeld von Wurzelkanalbehandlungen („Wurzelbehandlungen“)
  • zur Kontrolle des Behandlungserfolges
  • im Rahmen der Erstuntersuchung, um einen vollständigen Überblick über die Situation der Zähne und des Zahnhalteapparates zu bekommen
  • immer dann, wenn nicht nur die Zähne, sondern auch die benachbarten Strukturen interessant sind (z. B. vor Eingriffen in der Nähe der Kieferhöhle oder wenn der Verdacht besteht, dass Zähne nicht richtig angelegt sind).

Die Praxisklinik Herne wird Sie nur röntgen, wenn dies für die Beurteilung Ihrer Situation und den Behandlungserfolg nötig ist. In Fällen, in denen andere Untersuchungsmethoden für eine aussagekräftige Diagnose ausreichen, wird Ihr Zahnarzt in Herne Sie trotz der Körperverträglichkeit des digitalen Röntgenverfahrens auch nicht röntgen. Ihr Schutz liegt uns sehr am Herzen.

Grundsätzlich bestehen keine Kontraindikationen für digitale Röntgenaufnahmen. Jedoch prüfen wir insbesondere bei Kindern und Schwangeren eingehend die Notwendigkeit von Röntgenaufnahmen. Ansonsten treffen wir alle Maßnahmen, um Sie vor der Strahlung zu schützen – zum Beispiel durch das Umlegen einer Bleischürze.

Digitale Röntgenaufnahmen werden genau wie konventionelle Röntgenbilder von den gesetzlichen und privaten Krankenkassen vollständig übernommen.

 
3d diagnostik knochenaufbau
Präzisere Alternative

DVT (3D)-Röntgen

In einigen Fällen – zum Beispiel im Rahmen von oralchirurgischen Eingriffen oder Implantationen – kann es sinnvoll sein, das noch präzisere 3D-Röntgen unter Einsatz eines digitalen Volumentomographen (DVT) einzusetzen.

Ähnliche Themen
Das könnte Sie auch interessieren