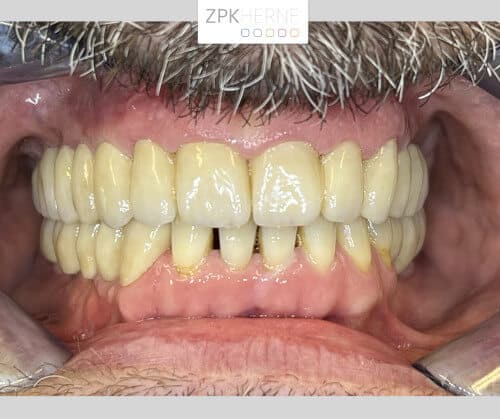
Nach 10 Jahren ohne zahnärztliche Behandlung verhelfen wir unserem Patienten zu einem neuen Lächeln
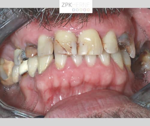
Über ein Jahrzehnt lang hat die Furcht vor dem Behandlungsstuhl unseren Patienten von dem dringend notwendigen Zahnarztbesuch abgehalten. Dabei leidet er fast schon ebenso lange unter einem nicht voll funktionsfähigen Gebiss: Seit mehreren Jahren fehlen ihm im Unter- sowie im Oberkiefer jeweils ab dem Eckzahn einige Zähne. Außerdem ist die Bisshöhe abgesackt, das heißt seit Jahrzehnten knirscht sich der Patient die Zahnsubstanz herunter. Das führt unter anderem dazu, dass er nicht mehr vernünftig essen kann. Hierfür wünscht er sich eine neue festsitzende Versorgung mittels Implantate.
Nach der gründlichen Anamnese werden aktuelle 3D-Aufnahmen der Gebisssituation erstellt. Dabei kommt das Team um Herrn Dr. Mintert zu den folgenden Ergebnissen und Handlungsschritten:
Da ein Kiefer komplett überkront werden muss, um den Biss anzuheben, trägt der Patient ab jetzt für drei bis vier Monate eine Aufbissschiene. Damit sich das Kiefergelenk an die neue Situation gewöhnen kann, ist die tägliche Tragezeit von 23 Stunden unbedingt einzuhalten. Danach kann der neue Zahnersatz mit Keramikkronen eingesetzt werden.
Zur Vorbereitung auf den Tag der Operation wird eine Bohrschablone auf Basis der DVT-Planung angefertigt. So werden die genauen Positionen der einzelnen OP-Schritte festgehalten, damit keine Nervverletzung entsteht. Der chirurgische Eingriff findet unter Vollnarkose statt, hier ist genaueste Konzentration gefragt. Zunächst wird das OP-Gebiet gründlich gereinigt, damit keine Bakterien in die Wunde gelangen. Nun Schnittführung auf den Kieferkämmen: Das Gewebe wird vorsichtig abgelöst und der Knochen freigelegt. Die Bohrschablone wird anprobiert und die Bohrungen für die Implantate Schritt für Schritt durchgeführt. Die Implantate werden nach und nach maschinell eingebracht und radiologisch kontrolliert. Währenddessen wird eine mit Blutplättchen und Wachstumsfaktoren angereicherte Fibrinmembran (LPRF) hergestellt, indem eine gewisse Menge Blut des Patienten zentrifugiert wird. Dies dient der besseren Wundheilung und ist unter dem Begriff „Eigenbluttherapie“ als besonders schonende und effiziente Behandlungsmethode bekannt.
Am nächsten Tag bestellen wir den Patienten noch mal zu uns in die Zahnarztpraxis, um uns zu vergewissern, dass er die Vollnarkose gut vertragen hat und es ihm gut geht. Die Wunde wird ebenfalls kontrolliert: Keine Beanstandung.
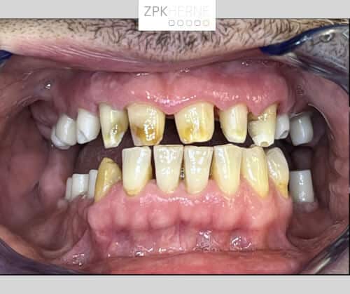
Nach ca. zwei Wochen werden die Nähte gezogen; die Wunde bekommt nun vier Monate Ruhe zur Einheilung. Damit die Implantate keinen Druck abbekommen, möchte der Patient keine herausnehmbare provisorische Versorgung – er ist immerhin bis hierher schon mehrere Jahre ohne ausgekommen.
Die radiologische Kontrolle findet nach drei Monaten statt. Wie diese genau abläuft, haben wir in unserem Patientenfall zum Thema Lückenschluss im Unterkiefer genauer erklärt.




| Leistung Chirurgie | Kosten |
|---|---|
| DVT | 221,49 € |
| Chirurgie | 9740,67 € |
| Leistung Zahnersatz | Kosten |
|---|---|
| Zahnersatz gesamt | 14975,94 € |
| Festzuschuss | -2583,94 € |
| Versichertenanteil | = 12391,98 € |
| Leistung insgesamt | Kosten |
|---|---|
| Gesamtkosten | 22354,14 € |
Sie sehen gerade einen Platzhalterinhalt von Vimeo. Um auf den eigentlichen Inhalt zuzugreifen, klicken Sie auf die Schaltfläche unten. Bitte beachten Sie, dass dabei Daten an Drittanbieter weitergegeben werden.
Mehr InformationenSie sehen gerade einen Platzhalterinhalt von YouTube. Um auf den eigentlichen Inhalt zuzugreifen, klicken Sie auf die Schaltfläche unten. Bitte beachten Sie, dass dabei Daten an Drittanbieter weitergegeben werden.
Mehr InformationenSie müssen den Inhalt von reCAPTCHA laden, um das Formular abzuschicken. Bitte beachten Sie, dass dabei Daten mit Drittanbietern ausgetauscht werden.
Mehr InformationenSie sehen gerade einen Platzhalterinhalt von ProvenExpert.com. Um auf den eigentlichen Inhalt zuzugreifen, klicken Sie auf die Schaltfläche unten. Bitte beachten Sie, dass dabei Daten an Drittanbieter weitergegeben werden.
Mehr Informationen