Leistung
Zahnchirurgie

Zahnfreilegung

Eine Zahnfreilegung kann nötig werden, wenn Zähne den Durchbruch zur Mundhöhle nicht oder nur teilweise geschafft haben. Solche Zähne nennt man retinierte beziehungsweise teilretinierte Zähne.
zahnfreilegung retinierte zähne
Überblick

Inhaltsverzeichnis

Themen im Überblick
Ursachen

Ursachen für retinierte, teilretinierte und verlagerte Zähne

Für eine Retention gibt es verschiedene Ursachen. Oft befinden sich die Zähne nicht an ihrer richtigen Position im Kiefer. Manchmal entwickeln sie sich auch mit einer Achsabweichung und liegen schief im Knochen. Derart verlagerte Zähne können Druck auf die Zahnwurzeln der Nachbarzähne ausüben und diese so gefährden. Von Retention und Verlagerung sind häufig die Eckzähne, die seitlichen Backenzähne (Prämolaren) und die Weisheitszähne betroffen.

Weist der retinierte Zahn eine normale Wuchsachse auf, findet er – besonders bei Kindern und Jugendlichen – nach der Freilegung manchmal von alleine an seinen Platz. Meist benötigen jedoch gerade die verlagerten Zähne ein wenig mehr „Geburtshilfe“. Sie werden nach Freilegung mit einem speziellen Bracket beklebt und vom Kieferorthopäden aktiv an die gewünschte Position gezogen.

Durch den Einsatz der ultraschallbasierten Piezochirurgie verlaufen Zahnfreilegungen heute effizienter, schonender und nahezu schmerzfrei.

Überbleibsel der Evolution

Retinierte Weisheitszähne

Weisheitszähne sind, ein „Relikt“ aus Zeiten, in denen die Kiefer der Menschen noch größer waren als heute. Für die Kaufunktion heute keinen Nutzen mehr. Deshalb werden retinierte, teil-retinierte und/oder verlagerte Weisheitszähne meistens gleich entfernt – auch, weil sie im Laufe des Lebens häufig Probleme verursachen.

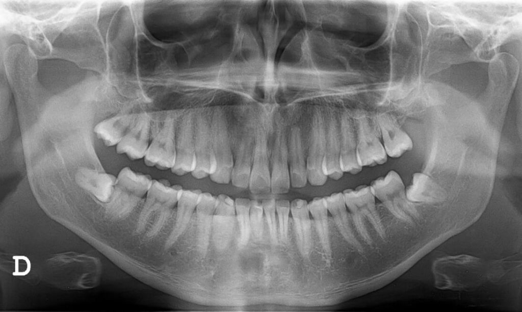
Retinierte Weisheitszähne im Oberkiefer - Röntgenbild
Immer als erster Schritt

Warum ist eine Zahnfreilegung nötig?

Durch eine Freilegung retinierter Zähne soll ihre Eingliederung in die ansonsten vollständige Zahnreihe erreicht werden. Zahnfreilegungen finden daher häufig im Zusammenhang mit kieferorthopädischen Behandlungen statt. Eine vollständige, gerade Zahnreihe reduziert die Gefahr von späteren Bissstörungen, ermöglicht eine natürliche Kaufunktion, steht für Gesundheit und sorgt für ein schönes Lächeln.

Röntgenbild eines retinierter Weisheitszahns
So verschafft sich Ihr Arzt einen Überblick

Wie werden retinierte, teil-retinierte und verlagerte Zähne diagnostiziert?

Eine Röntgenaufnahme und ein Tastbefund verschaffen dem Zahnarzt einen ersten Überblick über die genaue Lage des retinierten, teilretinierten und/oder verlagerten Zahnes. Besonders genau werden die Zahnstrukturen, der Verlauf des Unterkiefernervs und das umliegende Gewebe mit dreidimensionalen Röntgenaufnahmen (DVT) dargestellt. Diese bilden auch die Grundlage für die Planung des Eingriffs.

Häufig gestellte Fragen

FAQ

Ist eine Zahnfreilegung schmerzhaft?

Nein. Der Eingriff erfolgt in der Regel unter örtlicher Betäubung, sodass der Patient keine Schmerzen erleiden muss. Sind die Patienten sehr jung oder besonders ängstlich kann der Zahnarzt für Oralchirurgie den Eingriff aber auch unter Vollnarkose, Dämmerschlaf oder Lachgassedierung vornehmen. Dem Team der Praxisklinik Herne steht dem hierfür ein erfahrener Anästhesist zur Seite.

Für die operative Zahnfreilegung wird zunächst das Schleimhautgewebe an der Position des betroffenen Zahns eröffnet. Mit dem Dentallaser geschieht dies ganz sanft ohne Schnitte. Eventuell über dem Zahn liegendes Knochengewebe wird unter Einsatz der besonders schonenden ultraschall-basierten Piezochirurgie abgetragen.

Bei verlagerten Zähnen wird nun ein Bracket (Plättchen aus Metall mit Kette oder Draht) auf die Zahnkrone geklebt und die Wunde verschlossen. Dann wird mit dem Kettchen oder dem Draht solange Zug auf den Zahn ausgeübt, bis er sich an der richtigen Position befindet.

Die Behandlung wird vom Kieferorthopäden vorgenommen und ist abgeschlossen, wenn sich der querliegende Zahn aufgerichtet und gedreht hat sowie die geplante Position erreicht hat.

Dies Frage kann man nicht pauschal beantworten. Je nach Voraussetzungen kann eine Zahneingliederung schon einmal bis zu einem Jahr dauern.

 

Welche Kosten übernehmen die Krankenkassen?
Kosten

Die Kosten für eine Zahnfreilegung

Die Kosten für eine Zahnfreilegung werden sowohl von gesetzlichen als auch den privaten Krankenkassen vollumfänglich übernommen. Wird eine Verbandplatte benötigt, so trägt der Patient die Kosten hierfür zum Teil selbst. Erfolgt die Zahnfreilegung zur Eingliederung des Zahns in die Zahnreihe, fallen zusätzlich Kosten für die kieferorthopädische Behandlung an. Diese werden individuell für jeden Patienten berechnet.

Ähnliche Themen
Das könnte Sie auch interessieren