Information
Beispiel

Behandlungsbeispiel - Einzelzahn 46 (Unterkiefer, Versorgung bei Zyste)

Informieren Sie sich anhand unseres Behandlungsbeispiels über Ihren konkreten Fall.

Ihr Beispiel

Einzelzahn 46 (Unterkiefer, Versorgung bei Zyste)

Wie läuft eine implantologische Behandlung ab, wenn der Zahn 46 fehlt? Unsere Kurzbeschreibung zeigt Ihnen, wie unsere erfahrenen Implantologen in einem solchen Fall vorgehen.

Sie sehen gerade einen Platzhalterinhalt von YouTube. Um auf den eigentlichen Inhalt zuzugreifen, klicken Sie auf die Schaltfläche unten. Bitte beachten Sie, dass dabei Daten an Drittanbieter weitergegeben werden.

Mehr Informationen
Video

Patientenfall: Implantatplanung für Zahn 46 im Video

Patientenfall - Implantologie - Zahn 46 - 1
Schritt 1

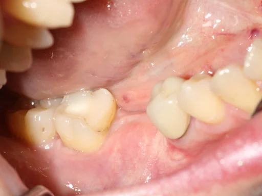
Es handelt sich um einen eher ungewöhnlichen Fall, bei dem der Molar 4,6 in einer anderen Praxis bereits mehrfach chirurgisch vorbehandelt wurde. Der Zahn hatte eine erfolglose Wurzelkanalbehandlung erhalten. Danach wurde zweimal eine Wurzelspitzenresektion durchgeführt. Beide Wurzelspitzenresektionen waren ebenfalls erfolglos. Es traten immer wieder Fistelgänge auf. Es bildete sich eine große Zyste, die sich bereits in Richtung Nervenkanal ausdehnte.

Patientenfall - Implantologie - Zahn 46 - 2
Schritt 2

Um der Patientin eine zu lange Behandlungsdauer zu ersparen, wurde beschlossen, die Zyste zu entfernen und das Implantat direkt einzusetzen. Ein solches Vorgehen ist vor allem unter dem Aspekt der Vermeidung weiterer Operationsnarben sinnvoll. In diesem Fall wurde bereits so viel voroperiert, dass das Gewebe nicht mehr optimal durchblutet wird, da bereits so viel Narbengewebe vorhanden ist.

Patientenfall - Implantologie - Zahn 46 - 3
Schritt 3

Der chirurgische Eingriff wurde hier in Narkose durchgeführt und dauerte etwa eine Stunde. Dabei wurde auch Knochen aus dem retropolaren Bereich entnommen, um den großen Defekt mit biologischem Material in Verbindung mit dem LPRF-Verfahren zu versorgen. Dies gewährleistet eine maximale Biologisierung des verwendeten Knochenersatzmaterials.

Patientenfall - Implantologie - Zahn 46 - 4
Schritt 4

Die Kosten für den chirurgischen Teil der Direktimplantation betrugen 2449 €. Der prothetischen Teil kostete 2260,- €.

Avatar group
Noch Fragen?

Haben Sie noch Fragen zur Praxisklinik Herne oder möchten gleich einen Termin mit uns vereinbaren? Dann freuen wir uns auf Ihren Anruf.