Information
Beispiel

Behandlungsbeispiel - Einzelzahn 16 (Oberkiefer)

Informieren Sie sich anhand unseres Behandlungsbeispiels über Ihren konkreten Fall.

Ihr Beispiel

Einzelzahn 16 (Oberkiefer)

Wie läuft eine implantologische Behandlung ab, wenn der Zahn 16 fehlt? Unsere Kurzbeschreibung zeigt Ihnen, wie unsere erfahrenen Implantologen in einem solchen Fall vorgehen.

Sie sehen gerade einen Platzhalterinhalt von YouTube. Um auf den eigentlichen Inhalt zuzugreifen, klicken Sie auf die Schaltfläche unten. Bitte beachten Sie, dass dabei Daten an Drittanbieter weitergegeben werden.

Mehr Informationen
Video

Patientenfall: Implantatplanung für Zahn 16 im Video

Chirurgischer Eingriff für Zahnimplantat 16
Schritt 1

Der Patient stellt sich mit einem nicht mehr erhaltungswürdigen, ersten oberen Molar (Zahn 16) vor. Auch durch eine Wurzelkanalbehandlung konnte der Zahn nicht mehr therapiert werden. Eine Extraktion war daher unumgänglich. 

In der Operation wurde der betroffene Zahn entfernt und direkt das Implantat mit einem internen Sinuslift und den begleitenden Augmentationsmaßnahmen (GBR) gesetzt.

Zahnreihe mit abgeheilter Implantatschraube
Schritt 2

Der gesamte Operationsbereich wurde im Anschluss plastisch gedeckt. Die Ein- und Abheilzeit betrug insgesamt fünf Monate.

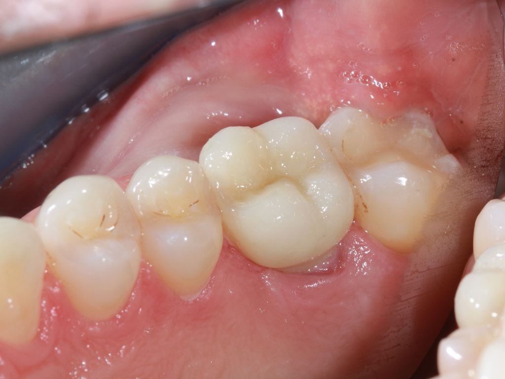
Zahnkrone auf Implantat (Zahn 16)
Schritt 3

Danach wurde das Implantat wieder freigelegt und abschließend mit einem keramischen Aufbau und einer vollkeramischen zementierten Einzelkrone versorgt.

Behandlungsbeispiel - Zahn 16 - Röntgenaufnahme
Schritt 4

Die Kosten für den Eingriff verteilen sich auf den chirurgischen Teil mit 2360,- € und den prophetischen Teil ( Zahnkrone ) mit 1490,- €.

Die gesamte Behandlungszeit betrug sechs Monate.

Avatar group
Noch Fragen?

Haben Sie noch Fragen zur Praxisklinik Herne oder möchten gleich einen Termin mit uns vereinbaren? Dann freuen wir uns auf Ihren Anruf.