Information
Beispiel

Behandlungsbeispiel - Zähne 44, 45, 46, 48 (Unterkiefer, Implantatbrücke)

Informieren Sie sich anhand unseres Behandlungsbeispiels über Ihren konkreten Fall.

Ihr Beispiel

Unterkiefer: Implantatpositionen 44, 46, 47

Wie läuft eine implantologische Behandlung ab, wenn die Zähne 44 bis 47 fehlen? Unsere Kurzbeschreibung zeigt Ihnen, wie unsere erfahrenen Implantologen in einem solchen Fall vorgehen.

Sie sehen gerade einen Platzhalterinhalt von YouTube. Um auf den eigentlichen Inhalt zuzugreifen, klicken Sie auf die Schaltfläche unten. Bitte beachten Sie, dass dabei Daten an Drittanbieter weitergegeben werden.

Mehr Informationen
Video

Patientenfall: Implantatplanung für Zähne 44, 45, 46, 48

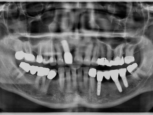
Patientenfall: Zähne 44,45,46,48 - Röntgenaufnahme
Schritt 1

Dieser Patientenfall aus unserer Praxisklinik in Herne spiegelt die moderne Zahnmedizin in vollem Umfang wider.

Patientenfall: Zähne 44,45,46,48 - Ausgangssituation
Schritt 2

Bei diesem Eingriff sollten die Zähne 44, 45, 46 und 48 extrahiert werden, gefolgt von einer direkten Implantation an den Positionen 44, 46 und 47.

Patientenfall: Zähne 44,45,46,48 - Planung
Schritt 3

Die Planung dieses Eingriffs erfolgte voll digital über ein DVT (Volumentomographie), wodurch präzise Daten für die Behandlung erhalten wurden. Die Informationen wurden mithilfe der Software SIM Plant in eine maßgeschneiderte Bohrschablone überführt, was eine exakte Implantation ermöglicht.

Zur Optimierung der Implantation wurden sowohl Eigenknochen als auch Fremdmaterial verwendet und die GBR-Technik (Guided Bone Regeneration) angewandt. Nach dem Einsetzen der Implantate folgte eine sechsmonatige Heilungsphase, in der sich die Implantate fest im Kiefer verankerten.

Patientenfall: Zähne 44,45,46,48 - Zahnersatz
Schritt 4

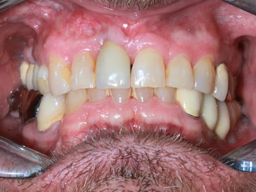
Nach der Einheilungszeit erfolgte die Brückenversorgung auf den Implantaten, welche dem Patienten eine stabile und ästhetische Lösung bietet.

Patientenfall: Zähne 44,45,46,48 - Eingliederung
Schritt 5

Die Kosten für den chirurgischen Teil beliefen sich auf 3.950 €, während die Brückenversorgung mit 4.152 € zu Buche schlug.

Avatar group
Noch Fragen?

Haben Sie noch Fragen zur Praxisklinik Herne oder möchten gleich einen Termin mit uns vereinbaren? Dann freuen wir uns auf Ihren Anruf.