Information
Beispiel

Behandlungsbeispiel - Zähne 36, 37 (Unterkiefer, Freiendsituation)

Informieren Sie sich anhand unseres Behandlungsbeispiels über Ihren konkreten Fall.

Ihr Beispiel

Zähne 36, 37 (Unterkiefer, Freiendsituation)

Wie läuft eine implantologische Behandlung ab, wenn die Zähne 36 und 37 fehlen? Unsere Kurzbeschreibung zeigt Ihnen, wie unsere erfahrenen Implantologen in einem solchen Fall vorgehen.

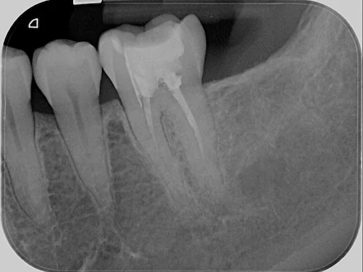
Patientenfall 36, 37 - Röntgenaufnahme der Ausgangssituation
Schritt 1

Bei diesem Patienten stellte sich der Zahn 36 aufgrund einer Längsfraktur als nicht erhaltungswürdig heraus. Zusätzlich fehlte der Zahn 37, der auf Wunsch des Patienten in eine Implantatplanung einbezogen wurde.

Patientenfall 36, 37 - Implantatplanung
Schritt 2

Somit wurden zwei Einzelzahnimplantate in Regio 36, 37 geplant.

Patientenfall 36, 37 - Bohrschablone für chirurgischen Eingriff
Schritt 3

Der chirurgische Eingriff wurde in Narkose durchgeführt und dauerte 1 Stunde 20 Minuten. Der Eingriff umfasste die Extraktion des zerstörten Zahnes 36, die Entfernung des entzündeten Gewebes, das Einsetzen der beiden Implantate, Maßnahmen zum Knochenaufbau, insbesondere in dem Bereich, in dem der Zahn 36 osteotomiert worden war, und eine abschließende plastische Deckung.

Patientenfall 36, 37 - Zahnersatz
Schritt 4

Die Einheilzeit betrug 5 Monate, der abschließende restaurative Prozess zusätzliche 4 Wochen.

Patientenfall 36, 37 - Finales Implantat
Schritt 5

Die Kosten für den chirurgischen Teil der Implantation und den direkt durchgeführten Knochenaufbau beliefen sich auf 3.150 €. Die abschließende restaurative Phase mit der Versorgung der beiden Implantate mit verschraubten Kronen auf 2.453 €.

Avatar group
Noch Fragen?

Haben Sie noch Fragen zur Praxisklinik Herne oder möchten gleich einen Termin mit uns vereinbaren? Dann freuen wir uns auf Ihren Anruf.