Information
Beispiel

Behandlungsbeispiel - Zähne 12, 11, 21, 22 (Oberkiefer, Sofortversorgung)

Informieren Sie sich anhand unseres Behandlungsbeispiels über Ihren konkreten Fall.

Ihr Beispiel

Zähne 12, 11, 21, 22 (Oberkiefer, Sofortversorgung)

Wie läuft eine implantologische Behandlung ab, wenn die Zähne 12, 11, 21 und 22 fehlen? Unsere Kurzbeschreibung zeigt Ihnen, wie unsere erfahrenen Implantologen in einem solchen Fall vorgehen.

Sie sehen gerade einen Platzhalterinhalt von YouTube. Um auf den eigentlichen Inhalt zuzugreifen, klicken Sie auf die Schaltfläche unten. Bitte beachten Sie, dass dabei Daten an Drittanbieter weitergegeben werden.

Mehr Informationen
Video

Patientenfall: Implantatplanung für Zahn 36

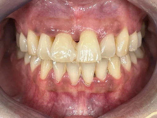
Behandlungsbeispiel - Zähne 11,12,22,21 - Prä-OP
Schritt 1

Der vorliegende Fall ist in jeder Hinsicht komplex und anspruchsvoll. Ein junger Patient stellt sich mit dem Wunsch vor, die Schneidezähne 12,11, 22, 21 im Oberkiefer durch Implantate ersetzen zu lassen.

Hintergrund ist, dass diese Zähne durch eine tiefgreifende Parodontitis so stark geschädigt sind, dass eine deutliche Lockerung vorliegt. Weitergehende parodontale Maßnahmen z.B. durch Verblockungen werden vom Patienten nicht mehr gewünscht.

Der Wunsch des Patienten ist es, die eigenen Zähne durch Implantate zu ersetzen und mit sofort belastbaren provisorischen Kronen zu versorgen.

Anmerkung: Patienten, die eine provisorische Sofortversorgung erhalten, (insbesondere bei Einzelkronen oder bei mehrfach verblockten Kronen im Schneidezahnbereich) wird empfohlen, im Gegenkiefer eine Schiene zu tragen. Dadurch wird eine übermäßige Belastung während des Tages, insbesondere in den ersten zwölf Wochen, vermieden.

Behandlungsbeispiel - Zähne 11,12,22,21 - Provisorium ohne Zahnersatz
Schritt 2

Da für die intraoperativ eingegliederte direkte, provisorische Versorgung umfangreiche zahntechnische Vorbereitungen notwendig sind wurde die gesamte Operation rückwärts geplant.

Das heißt, alle Implantate werden bereits im Vorfeld in einem speziellen Modell gesetzt und der Zahnersatz, der bereits während der Narkose eingesetzt wird, komplett vorbereitet.

Behandlungsbeispiel - Zähne 11,12,22,21 - Provisorium mit Zahnersatz
Schritt 3

Die besondere Herausforderung hierbei ist, dass es sich um eine besonders ästhetische und harmonische Arbeit handelt, ein sogenanntes „Hollywood-Smile“.

Behandlungsbeispiel - Zähne 11,12,22,21 - Post Extraktion (Ansicht des Oberkiefers)
Schritt 4

Während der Operation wurden die vier oberen Schneidezähne entfernt, das entzündete Gewebe entfernt, die Implantate gesetzt, Knochenersatzmaterial und Membran eingebracht sowie die Aufbaupfosten für die provisorische Versorgung eingebracht und abschließend die provisorische Kronenkonstruktion eingegliedert.

Unterstützend kam hier das LPRF-Verfahren zur schnelleren Wundheilung zum Einsatz.

Der Eingriff selbst wurde in Narkose (ITN) durchgeführt und dauert etwa zwei Stunden.

Behandlungsbeispiel - Zähne 11,12,22,21 - Eingesetzte OP-Schablone
Schritt 5

Die gesamte Präparation wird während der Operation digital über eine Bohrschablone durchgeführt.

Ähnlich wie bei einer All-on-Four-Versorgung ist mit einer Wartezeit von ca. 5-6 Monaten bis zur endgültigen Versorgung zu rechnen.

Behandlungsbeispiel - Zähne 11,12,22,21 - Post-Implantation (Ansicht Oberkiefer)
Schritt 6

Ähnlich wie bei einer All-on-Four-Versorgung war mit einer Wartezeit von ca. 5-6 Monaten bis zur endgültigen Versorgung zu rechnen.

Behandlungsbeispiel - Zähne 11,12,22,21 - 1 Tag Post-OP
Schritt 7

Situation einen Tag Post-OP mit provisorischer Versorgung.

Behandlungsbeispiel - Zähne 11,12,22,21 - Ansicht der Zahnsituation nach der Behandlung
Schritt 8

Die Kosten für den chirurgischen Teil (vier Implantate mit Knochenaufbau und zusätzlich zwei Implantate 16 und 26 mit internem Sinuslift) betrugen 6.800 €.

Die Kosten für die provisorische Sofortversorgung auf den Implantaten 12, 11, 21, 22 summierten sich auf 2.960 €.

Avatar group
Noch Fragen?

Haben Sie noch Fragen zur Praxisklinik Herne oder möchten gleich einen Termin mit uns vereinbaren? Dann freuen wir uns auf Ihren Anruf.