Aktuelles
Patienten

Sofortimplantation am mittleren Schneidezahn mit Sofortbelastung

Radiologische Aufnahme mit entzündeter Wurzelspitze

Patientenfall: Sofortimplantation am mittleren Schneidezahn – Sofortbelastung statt Sekundenkleber

Patientin wünscht sich langfristige Lösung für austherapierten Zahn

Eine Wurzelkanalbehandlung mit Folgen

Vor sechs Jahren unterzog sich die Patientin in unserem heutigen Fall einer Wurzelkanalbehandlung des Zahns 21 – d. h. des mittleren Schneidezahns – mit anschließender Überkronung. Leider fiel die Krone regelmäßig ab und wurde in der damaligen Praxis immer nur provisorisch wieder eingeklebt nach dem Motto „Schauen wir mal, wie lange es diesmal hält!“ Irgendwann behalf sich unsere Patientin kurzerhand selbst: Mit Sekundenkleber! Doch das konnte keine langfristige Lösung sein – ein neuer Plan muss her. Damit wendet sie sich an die ZPK Herne.
Kieferansicht mit ausgefallener Krone - Zahn 21
Sie hat den Wunsch den zerstörten Zahn durch ein Zahnimplantat mit einer Krone in einem Behandlungsschritt ersetzen zu lassen und so nach dem Eingriff sofort versorgt zu sein.

Zahn 21 ist austherapiert

Zunächst stellen wir den Ist-Zustand mittels Digitaler Volumentomographie (DVT) fest:
  • Die vorangegangenen Therapien wie Wurzelkanalbehandlung und Stiftaufbau haben den Zahn stark in Mitleidenschaft gezogen. Außerdem ist die Wurzelspitze des Zahnes entzündet. Somit kann Zahn 21 nicht erneut versorgt, sondern muss gezogen werden: Er ist lange austherapiert.
  • Positiv zu bemerken ist, dass der Wurzelrest das Knochenniveau erhält und kein extra Knochenaufbau stattfinden muss.
Radiologische Aufnahme mit entzündeter Wurzelspitze

Brücke oder Implantat?

Ohne Zahn 21 entsteht eine so genannte Schaltlücke, sprich davor und dahinter steht jeweils noch ein eigener Zahn. Diese Lücke könnte mittels Brücke geschlossen werden, was für die noch gänzlich intakten Nachbarzähne allerdings eine Beanspruchung darstellen würde. Um diese zu schützen, entscheidet sich unsere Patientin deshalb für eine Implantation. In ihrem Fall sind Extraktion des Zahnes und Setzen des Implantats in einer Sitzung möglich. Der Zahn wird besonders vorsichtig entfernt, damit so viel Knochen wie möglich für die anschließende Implantation erhalten bleibt. Um eine Verletzung der Nerven, insbesondere am Gaumen zu verhindern, wird eine passgenaue Bohrschablone angefertigt, die die genaue Position des Implantats abbildet. Die Patientin wird vor dem Eingriff zu einem ausführlichen OP-Besprechungstermin in die ZPK Herne eingeladen, um all ihre Fragen zu beantworten. Alle OP-Unterlagen, auch die der alternativen Brückenversorgung, bekommt sie anschließend per E-Mail nach Hause geschickt.
Implantatplanung mittels Simplant

Keine Vollnarkose – große Angst

Die Patientin ist am Tag der Operation sehr aufgeregt: Sie soll lediglich sediert und nicht etwa in Vollnarkose versetzt werden. Sie hat große Angst doch noch Schmerzen zu empfinden. Wir begegnen ihren Befürchtungen mit viel Ruhe und Geduld, erklären, dass sie garantiert nichts merken wird und versuchen ihr die größten Ängste zu nehmen, bevor es losgeht.
  1. Zunächst wird das OP-Gebiet gründlich gereinigt, um alle Bakterien zu entfernen. Da wir im Frontgebiet des Oberkiefers arbeiten, die Schleimhaut dort sehr dünn ist und leicht einreißen kann, arbeiten wir hier besonders behutsam und ohne großen Druck, während das Gewebe vom Knochen entfernt und der Zahn gezogen wird. Das Knochenfach, indem der Zahn steckt, soll dadurch ebenfalls bestmöglich erhalten bleiben.
  2. Im nächsten Schritt wird die Bohrschablone anprobiert und die Bohrung Schritt für Schritt durchgeführt. Das Implantat wird maschinell eingebracht und radiologisch kontrolliert.
  3. Die restlichen Hohlräume werden mit Knochenersatzmaterialien und gewonnenem Eigenknochen aufgefüllt.
  4. Anschließend wird mittels zentrifugiertem Eigenblut (LPRF) die Wundheilung angeregt, bevor das Gewebe plastisch gedeckt und die Wunde vernäht wird.
  5. Der vorbereitete keramische Aufbau wird aufgesetzt und eine provisorische Krone direkt angepasst. Somit kann die Patientin nach dem Eingriff das Ergebnis direkt sehen und ihr Lächeln ist wieder hergestellt. Die Krone hat keinen Kontakt zur Gegenbezahnung und die Patientin wird angewiesen, in den Wochen nach der OP möglichst keine Belastung auf den Schneidezahn auszuüben.
Gezogener Zahn - Detailansicht
Kieferansicht mit befestigter Bohrschablone im Oberkiefer

OP schmerzarm verlaufen?

Wie gewohnt schaut die Patientin am Tag nach dem Eingriff in der ZPK Herne vorbei: Wir erkundigen uns, ob sie die Sedierung gut vertragen hat und wie es ihr geht. Ihr Fazit: Ihre Ängste vor der OP haben sich nicht bewahrheitet – von der Operation hat sie, wie angekündigt, nichts mitbekommen.

Radiologische Kontrolle und Einkleben der Krone

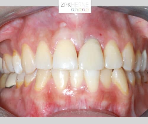
Die Wundheilung verläuft unproblematisch und so kann nach Ablauf des Zeitraums von fünf Monaten die radiologische Kontrolle durchgeführt werden. In den abschließenden Schritten wird die provisorische Krone abgenommen, ein digitaler Scan des Aufbaus aufgenommen, und die abschließende keramische Krone angefertigt. Natürlich wird bei der Gelegenheit auch die Zahnfarbe gemeinsam mit der Patientin ausgesucht. Zu guter Letzt wird die maßangefertigte Zirkonkrone eingeklebt und mit kleinen Korrekturmaßnahmen perfektioniert. Die Patientin ist überglücklich und braucht ab sofort keinen Sekundenkleber mehr, um unbeschwert zu lächeln.
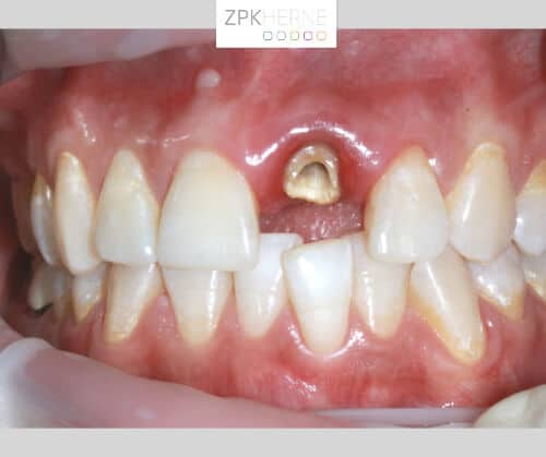
Oberkiefer mit eingeheiltem Implantatkörper
Kieferansicht nach der Implantatbehandlung - Zahn 21